
Anti-FMO3 Antibody
A101448
ApplicationsWestern Blot, ELISA
Product group Antibodies
ReactivityHuman
Overview
- SupplierAntibodies.com
- Product NameAnti-FMO3 Antibody
- Delivery Days Customer7
- ApplicationsWestern Blot, ELISA
- CertificationResearch Use Only
- ClonalityPolyclonal
- ConjugateUnconjugated
- HostRabbit
- IsotypeIgG
- Scientific DescriptionRabbit polyclonal antibody to FMO3.
- ReactivityHuman
- UNSPSC12352203





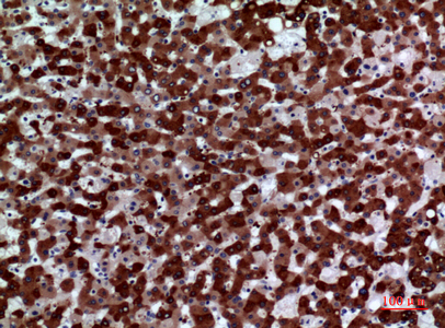
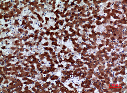
![FMO3 antibody [N2C2], Internal detects FMO3 protein at cytosol on human normal liver by immunohistochemical analysis. Sample: Paraffin-embedded normal liver. FMO3 antibody [N2C2], Internal (GTX103521) dilution: 1:500.
Antigen Retrieval: Trilogy? (EDTA based, pH 8.0) buffer, 15min](https://www.genetex.com/upload/website/prouct_img/normal/GTX103521/GTX103521_39897_IHC_w_23060119_485.webp)


