
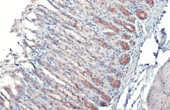
Immunohistochemistry analysis in human stomach and lymph node tissues using Anti-GALNT3 antibody. Corresponding GALNT3 RNA-seq data are presented for the same tissues.
Anti-GALNT3 Antibody
HPA007613
ApplicationsWestern Blot, ImmunoCytoChemistry, ImmunoHistoChemistry
Product group Antibodies
ReactivityHuman
TargetGALNT3
Overview
- SupplierAtlas Antibodies
- Product NameAnti-GALNT3 Antibody
- Delivery Days Customer4
- ApplicationsWestern Blot, ImmunoCytoChemistry, ImmunoHistoChemistry
- CertificationResearch Use Only
- ClonalityPolyclonal
- ConjugateUnconjugated
- Gene ID2591
- Target nameGALNT3
- Target descriptionpolypeptide N-acetylgalactosaminyltransferase 3
- Target synonymsGalNAc-T3, HFTC, HFTC1, HHS, polypeptide N-acetylgalactosaminyltransferase 3, GalNAc transferase 3, UDP-GalNAc:polypeptide N-acetylgalactosaminyltransferase 3, UDP-N-acetyl-alpha-D-galactosamine:polypeptide N-acetylgalactosaminyltransferase 3 (GalNAc-T3), polypeptide GalNAc transferase 3, polypeptide GalNAc-transferase T3, pp-GaNTase 3, protein-UDP acetylgalactosaminyltransferase 3
- HostRabbit
- IsotypeIgG
- Protein IDQ14435
- Protein NamePolypeptide N-acetylgalactosaminyltransferase 3
- Scientific DescriptionRecombinant Protein Epitope Signature Tag (PrEST) antigen sequence
- ReactivityHuman
- Storage Instruction-20°C,2°C to 8°C
- UNSPSC41116161




