
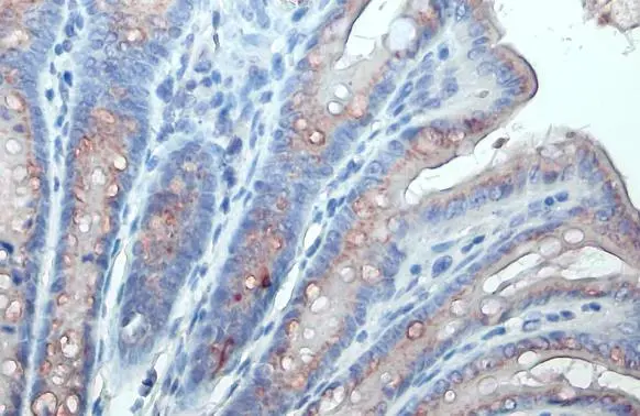
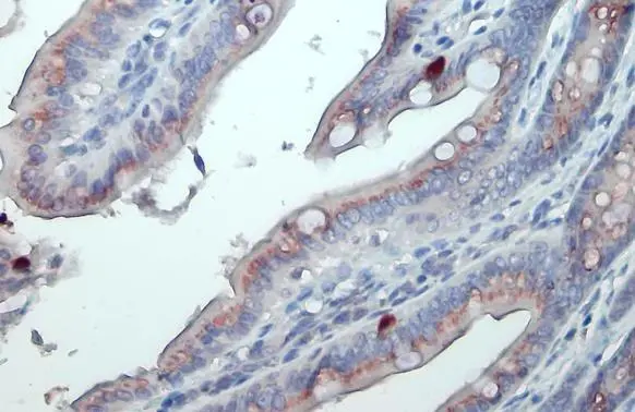
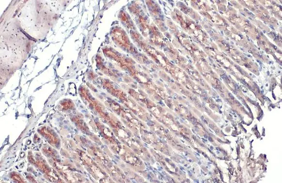
GALNT3 antibody detects GALNT3 protein at Golgi apparatus by immunohistochemical analysis. Sample: Paraffin-embedded mouse stomach. GALNT3 stained by GALNT3 antibody (GTX131628) diluted at 1:500. Antigen Retrieval: Citrate buffer, pH 6.0, 15 min
GALNT3 antibody
GTX131628
ApplicationsImmunoFluorescence, Western Blot, ImmunoCytoChemistry, ImmunoHistoChemistry, ImmunoHistoChemistry Paraffin
Product group Antibodies
ReactivityHuman, Mouse
TargetGALNT3
Overview
- SupplierGeneTex
- Product NameGALNT3 antibody
- Delivery Days Customer9
- Application Supplier NoteWB: 1:500-1:3000. ICC/IF: 1:100-1:1000. *Optimal dilutions/concentrations should be determined by the researcher.Not tested in other applications.
- ApplicationsImmunoFluorescence, Western Blot, ImmunoCytoChemistry, ImmunoHistoChemistry, ImmunoHistoChemistry Paraffin
- CertificationResearch Use Only
- ClonalityPolyclonal
- Concentration0.31 mg/ml
- ConjugateUnconjugated
- Gene ID2591
- Target nameGALNT3
- Target descriptionpolypeptide N-acetylgalactosaminyltransferase 3
- Target synonymsGalNAc-T3, HFTC, HFTC1, HHS, polypeptide N-acetylgalactosaminyltransferase 3, GalNAc transferase 3, UDP-GalNAc:polypeptide N-acetylgalactosaminyltransferase 3, UDP-N-acetyl-alpha-D-galactosamine:polypeptide N-acetylgalactosaminyltransferase 3 (GalNAc-T3), polypeptide GalNAc transferase 3, polypeptide GalNAc-transferase T3, pp-GaNTase 3, protein-UDP acetylgalactosaminyltransferase 3
- HostRabbit
- IsotypeIgG
- Protein IDQ14435
- Protein NamePolypeptide N-acetylgalactosaminyltransferase 3
- Scientific DescriptionThis gene encodes UDP-GalNAc transferase 3, a member of the GalNAc-transferases family. This family transfers an N-acetyl galactosamine to the hydroxyl group of a serine or threonine residue in the first step of O-linked oligosaccharide biosynthesis. Individual GalNAc-transferases have distinct activities and initiation of O-glycosylation is regulated by a repertoire of GalNAc-transferases. The protein encoded by this gene is highly homologous to other family members, however the enzymes have different substrate specificities. [provided by RefSeq, Jul 2008]
- ReactivityHuman, Mouse
- Storage Instruction-20°C or -80°C,2°C to 8°C
- UNSPSC41116161











