
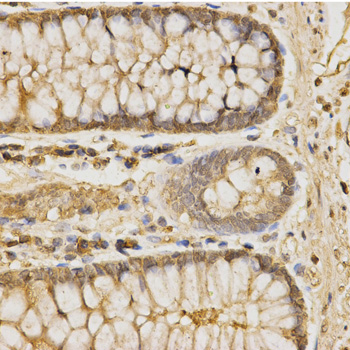
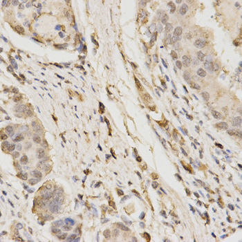
Anti-GLB1 Antibody
A38470
ApplicationsWestern Blot, ImmunoHistoChemistry
Product group Antibodies
ReactivityHuman
Overview
- SupplierAntibodies.com
- Product NameAnti-GLB1 Antibody
- Delivery Days Customer7
- ApplicationsWestern Blot, ImmunoHistoChemistry
- CertificationResearch Use Only
- ClonalityPolyclonal
- Concentration1.0 mg/ml
- ConjugateUnconjugated
- HostRabbit
- Scientific DescriptionRabbit polyclonal antibody to GLB1
- ReactivityHuman
- UNSPSC12352203








![Various whole cell extracts (30 μg) were separated by 7.5% SDS-PAGE, and the membrane was blotted with beta-Gal antibody [N2C3] (GTX104360) diluted at 1:1000.](https://www.genetex.com/upload/website/prouct_img/normal/GTX104360/GTX104360_42354_20160225_WB_w_23060120_551.webp)