
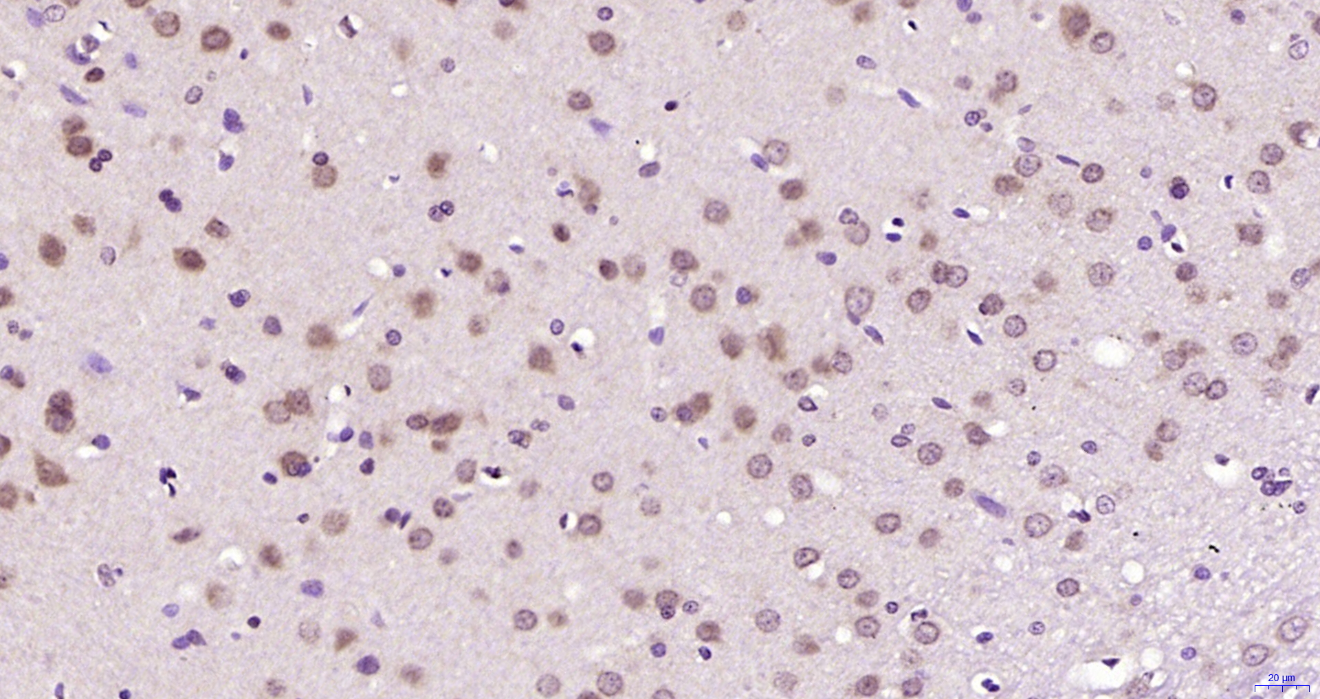
Immunohistochemical staining of human cerebral cortex shows strong nucleolar positivity in neuronal cells.
Anti-GNL3L Antibody
HPA036315
ApplicationsWestern Blot, ImmunoCytoChemistry, ImmunoHistoChemistry
Product group Antibodies
ReactivityHuman
TargetGNL3L
Overview
- SupplierAtlas Antibodies
- Product NameAnti-GNL3L Antibody
- Delivery Days Customer4
- ApplicationsWestern Blot, ImmunoCytoChemistry, ImmunoHistoChemistry
- CertificationResearch Use Only
- ClonalityPolyclonal
- ConjugateUnconjugated
- Gene ID54552
- Target nameGNL3L
- Target descriptionG protein nucleolar 3 like
- Target synonymsGNL3B, guanine nucleotide-binding protein-like 3-like protein, G protein nucleolar 3B, guanine nucleotide binding protein-like 3 (nucleolar)-like, novel GTPase
- HostRabbit
- IsotypeIgG
- Protein IDQ9NVN8
- Protein NameGuanine nucleotide-binding protein-like 3-like protein
- Scientific DescriptionRecombinant Protein Epitope Signature Tag (PrEST) antigen sequence
- ReactivityHuman
- Storage Instruction-20°C,2°C to 8°C
- UNSPSC41116161







