
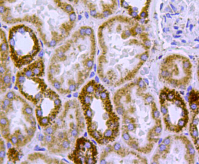
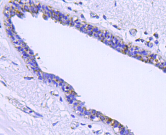
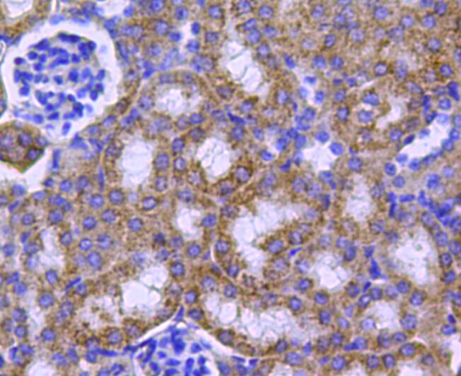
Anti-HSP60 Antibody
A32577
ApplicationsWestern Blot, ImmunoCytoChemistry, ImmunoHistoChemistry
Product group Antibodies
ReactivityHuman, Mouse, Rat
Overview
- SupplierAntibodies.com
- Product NameAnti-HSP60 Antibody
- Delivery Days Customer7
- ApplicationsWestern Blot, ImmunoCytoChemistry, ImmunoHistoChemistry
- CertificationResearch Use Only
- ClonalityMonoclonal
- ConjugateUnconjugated
- HostMouse
- Scientific DescriptionMouse monoclonal antibody to HSP60
- ReactivityHuman, Mouse, Rat
- UNSPSC12352203









