
Anti-IL1R2 Antibody
A101023
ApplicationsWestern Blot, ELISA
Product group Antibodies
ReactivityHuman
Overview
- SupplierAntibodies.com
- Product NameAnti-IL1R2 Antibody
- Delivery Days Customer7
- ApplicationsWestern Blot, ELISA
- CertificationResearch Use Only
- ClonalityPolyclonal
- ConjugateUnconjugated
- HostRabbit
- IsotypeIgG
- Scientific DescriptionRabbit polyclonal antibody to IL1R2.
- ReactivityHuman
- UNSPSC12352203










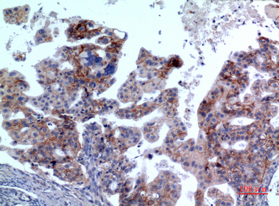
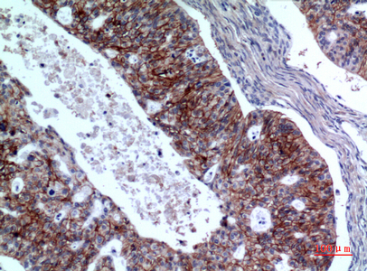
![IL1 Receptor 2 antibody [N3C3] detects IL1 Receptor 2 protein at cytoplasm in human colon cancer by immunohistochemical analysis. Sample: Paraffin-embedded human colon cancer. IL1 Receptor 2 antibody [N3C3] (GTX108702) diluted at 1:500.
Antigen Retrieval: Citrate buffer, pH 6.0, 15 min](https://www.genetex.com/upload/website/prouct_img/normal/GTX108702/GTX108702_40016_20150420_IHC_2_w_23060120_741.webp)