
Figure 1. Western blot analysis of IRF2BPL using anti-IRF2BPL antibody (A10706). Electrophoresis was performed on a 5-20% SDS-PAGE gel at 70V (Stacking gel) / 90V (Resolving gel) for 2-3 hours. The sample well of each lane was loaded with 30 ug of sample under reducing conditions. Lane 1: human PC-3 whole cell lysates, Lane 2: human SH-SY5Y whole cell lysates, Lane 3: human MCF-7whole cell lysates, Lane 4: human RT4 whole cell lysates. After electrophoresis, proteins were transferred to a nitrocellulose membrane at 150 mA for 50-90 minutes. Blocked the membrane with 5% non-fat milk/TBS for 1.5 hour at RT. The membrane was incubated with rabbit anti-IRF2BPL antigen affinity purified polyclonal antibody (Catalog # A10706) at 0.25 microg/mL overnight at 4°C, then washed with TBS-0.1%Tween 3 times with 5 minutes each and probed with a goat anti-rabbit IgG-HRP secondary antibody at a dilution of 1:5000 for 1.5 hour at RT. The signal is developed using an Enhanced Chemiluminescent detection (ECL) kit (Catalog # EK1002) with Tanon 5200 system. A specific band was detected for IRF2BPL at approximately 95 kDa. The expected band size for IRF2BPL is at 83 kDa.
Anti-IRF2BPL Antibody Picoband(r)
A10706-CARRIER-FREE
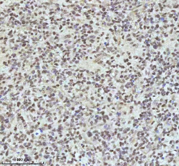
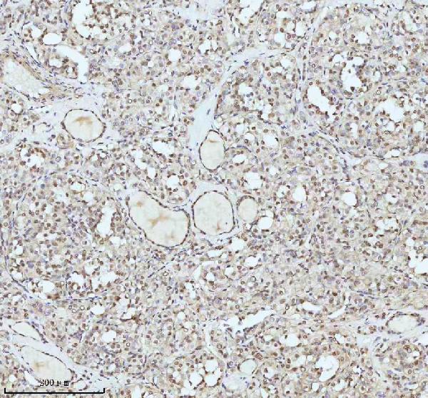
ApplicationsFlow Cytometry, ImmunoFluorescence, Western Blot, ELISA, ImmunoCytoChemistry, ImmunoHistoChemistry
Product group Antibodies
ReactivityHuman
TargetIRF2BPL
Overview
- SupplierBoster Bio
- Product NameAnti-IRF2BPL Antibody Picoband(r)
- Delivery Days Customer9
- ApplicationsFlow Cytometry, ImmunoFluorescence, Western Blot, ELISA, ImmunoCytoChemistry, ImmunoHistoChemistry
- CertificationResearch Use Only
- ClonalityPolyclonal
- Concentration500 ug/ml
- Gene ID64207
- Target nameIRF2BPL
- Target descriptioninterferon regulatory factor 2 binding protein like
- Target synonymsC14orf4, EAP1, NEDAMSS, probable E3 ubiquitin-protein ligase IRF2BPL, E3 ubiquitin-protein ligase IRF2BPL, enhanced at puberty 1, enhanced at puberty protein 1
- HostRabbit
- Protein IDQ9H1B7
- Protein NameProbable E3 ubiquitin-protein ligase IRF2BPL
- Scientific DescriptionBoster Bio Anti-IRF2BPL Antibody Picoband® catalog # A10706. Tested in WB, IF, IHC, ICC, Flow Cytometry, ELISA applications. This antibody reacts with Human. The brand Picoband indicates this is a premium antibody that guarantees superior quality, high affinity, and strong signals with minimal background in Western blot applications. Only our best-performing antibodies are designated as Picoband, ensuring unmatched performance.
- ReactivityHuman
- Storage Instruction-20°C,2°C to 8°C
- UNSPSC12352203








