
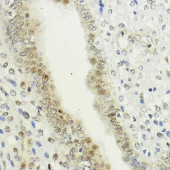
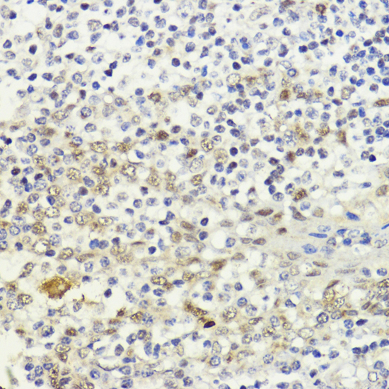
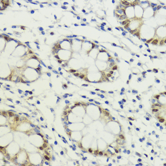
Anti-LDB1 Antibody
A307494
ApplicationsWestern Blot, ImmunoHistoChemistry
Product group Antibodies
ReactivityHuman, Mouse, Rat
Overview
- SupplierAntibodies.com
- Product NameAnti-LDB1 Antibody
- Delivery Days Customer7
- ApplicationsWestern Blot, ImmunoHistoChemistry
- CertificationResearch Use Only
- ClonalityPolyclonal
- ConjugateUnconjugated
- HostRabbit
- IsotypeIgG
- Scientific DescriptionRabbit polyclonal antibody to LDB1.
- ReactivityHuman, Mouse, Rat
- UNSPSC12352203



![Various whole cell extracts (30 μg) were separated by 10% SDS-PAGE, and the membrane was blotted with LDB1 antibody [N2C3] (GTX104531) diluted at 1:1000. The HRP-conjugated anti-rabbit IgG antibody (GTX213110-01) was used to detect the primary antibody.](https://www.genetex.com/upload/website/prouct_img/normal/GTX104531/GTX104531_41766_20210514_WB_w_23060120_540.webp)


