
Anti-LITAF Antibody
A30791
ApplicationsImmunoFluorescence, Western Blot, ImmunoHistoChemistry
Product group Antibodies
ReactivityHuman, Mouse, Rat
Overview
- SupplierAntibodies.com
- Product NameAnti-LITAF Antibody
- Delivery Days Customer7
- ApplicationsImmunoFluorescence, Western Blot, ImmunoHistoChemistry
- CertificationResearch Use Only
- ClonalityPolyclonal
- ConjugateUnconjugated
- Estimated Purity>95%
- HostRabbit
- Scientific DescriptionRabbit polyclonal antibody to LITAF
- ReactivityHuman, Mouse, Rat
- UNSPSC12352203






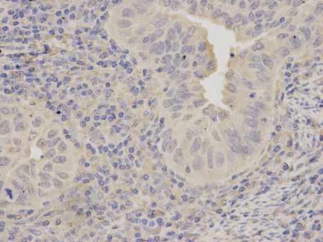
![LITAF antibody [N1C3] detects LITAF protein at cytoplasm on human placenta by immunohistochemical analysis. Sample: Paraffin-embedded placenta. LITAF antibody [N1C3] (GTX109173) dilution: 1:100.
Antigen Retrieval: Trilogy? (EDTA based, pH 8.0) buffer, 15min](https://www.genetex.com/upload/website/prouct_img/normal/GTX109173/GTX109173_40023_CT_IHC_w_23060120_714.webp)

