
Immunohistochemical staining of human duodenum shows moderate cytoplasmic and nuclear positivity in glandular cells.
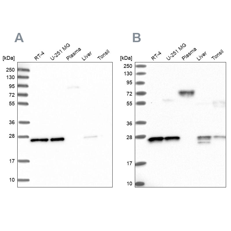
Anti-MESDC2 Antibody
HPA039414
ApplicationsWestern Blot, ImmunoHistoChemistry
Product group Antibodies
ReactivityHuman
TargetMESD
Overview
- SupplierAtlas Antibodies
- Product NameAnti-MESDC2 Antibody
- Delivery Days Customer4
- ApplicationsWestern Blot, ImmunoHistoChemistry
- CertificationResearch Use Only
- ClonalityPolyclonal
- ConjugateUnconjugated
- Gene ID23184
- Target nameMESD
- Target descriptionmesoderm development LRP chaperone
- Target synonymsBOCA, MESDC2, OI20, LRP chaperone MESD, LDLR chaperone MESD, mesoderm development LRP chaperone MESD, mesoderm development candidate 2, mesoderm development protein, renal carcinoma antigen NY-REN-61
- HostRabbit
- IsotypeIgG
- Protein IDQ14696
- Protein NameLRP chaperone MESD
- Scientific DescriptionRecombinant Protein Epitope Signature Tag (PrEST) antigen sequence
- ReactivityHuman
- Storage Instruction-20°C,2°C to 8°C
- UNSPSC41116161





