
Anti-Mesothelin Antibody
A92393
ApplicationsWestern Blot, ImmunoHistoChemistry
Product group Antibodies
ReactivityHuman, Rat
Overview
- SupplierAntibodies.com
- Product NameAnti-Mesothelin Antibody
- Delivery Days Customer7
- ApplicationsWestern Blot, ImmunoHistoChemistry
- CertificationResearch Use Only
- ClonalityPolyclonal
- ConjugateUnconjugated
- HostRabbit
- IsotypeIgG
- Scientific DescriptionRabbit polyclonal antibody to Mesothelin.
- ReactivityHuman, Rat
- UNSPSC12352203











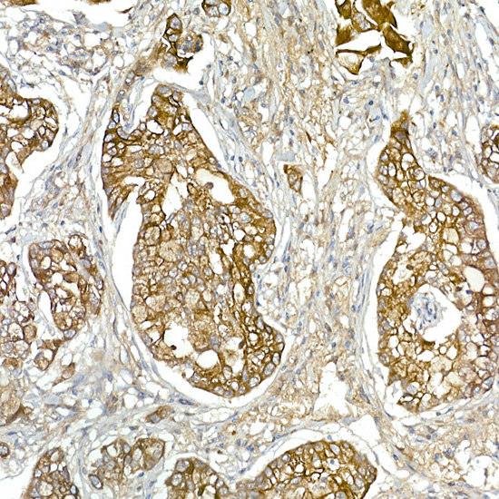
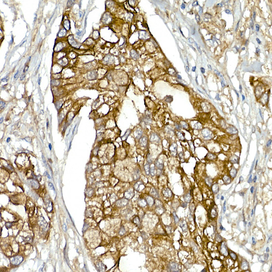
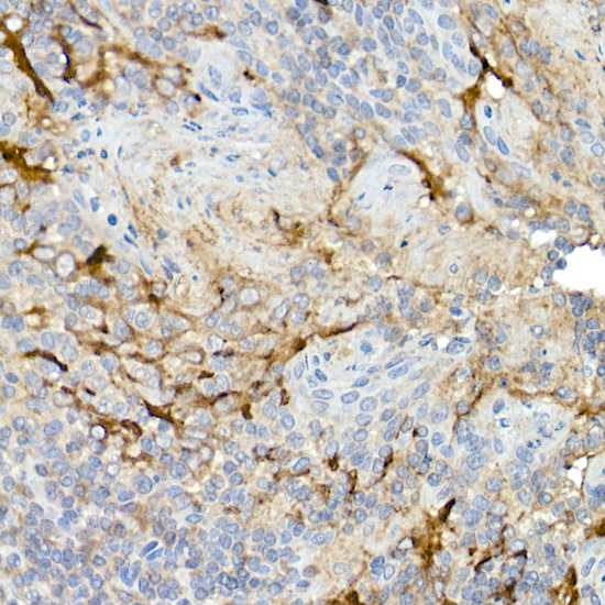
![IHC-P analysis of human breast adenoid cystic carcinoma (ACC) tissue using GTX04373 Mesothelin antibody [MSVA-235M] HistoMAX?. Adenoid cystic breast cancer with strong membranous mesothelin immunostaining in a subset of cells.](https://www.genetex.com/upload/website/prouct_img/normal/GTX04373/GTX04373_20230728_IHC-P_77_23072722_210.webp)