
A549 probed with Mesothelin Polyclonal Antibody, Unconjugated (bs-0300R ) at 1:100 for 30 minutes followed by incubation with a conjugated secondary (PE Conjugated) (green) for 30 minutes compared to control cells (blue), secondary only (light blue) and isotype control (orange).
Mesothelin Polyclonal Antibody
BS-0300R
ApplicationsFlow Cytometry, Western Blot, ELISA, ImmunoHistoChemistry, ImmunoHistoChemistry Paraffin
Product group Antibodies
ReactivityHuman, Mouse, Rat
TargetMSLN
Overview
- SupplierBioss
- Product NameMesothelin Polyclonal Antibody
- Delivery Days Customer16
- ApplicationsFlow Cytometry, Western Blot, ELISA, ImmunoHistoChemistry, ImmunoHistoChemistry Paraffin
- Applications SupplierWB(1:300-5000), ELISA(1:500-1000), FCM(1:20-100), IHC-P(1:200-400)
- CertificationResearch Use Only
- ClonalityPolyclonal
- Concentration1 ug/ul
- ConjugateUnconjugated
- Gene ID10232
- Target nameMSLN
- Target descriptionmesothelin
- Target synonymsMPF, SMRP, mesothelin, CAK1 antigen, megakaryocyte potentiating factor, pre-pro-megakaryocyte-potentiating factor, soluble MPF mesothelin related protein
- HostRabbit
- IsotypeIgG
- Protein IDQ13421
- Protein NameMesothelin
- ReactivityHuman, Mouse, Rat
- Storage Instruction-20°C
- UNSPSC41116161













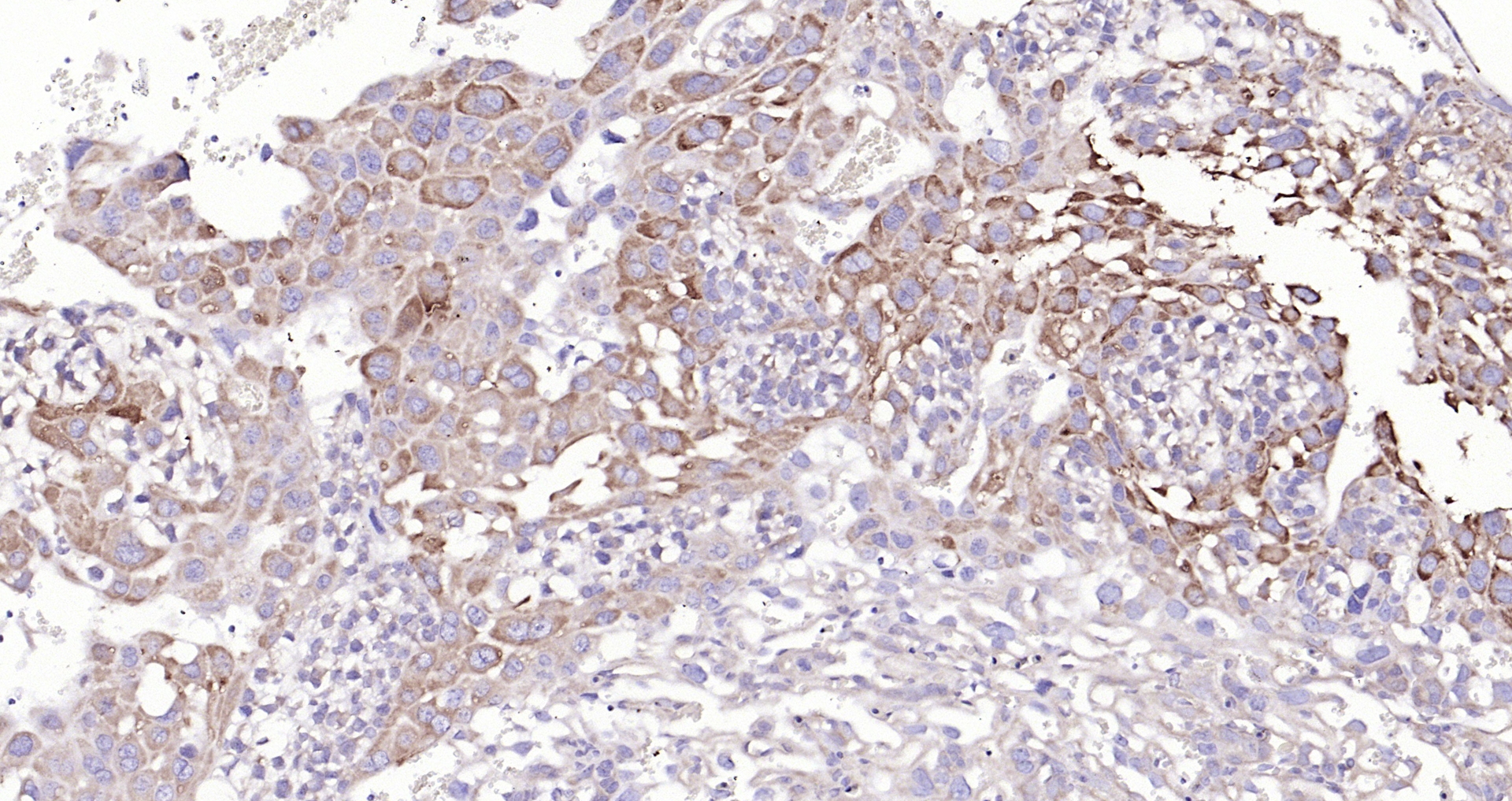
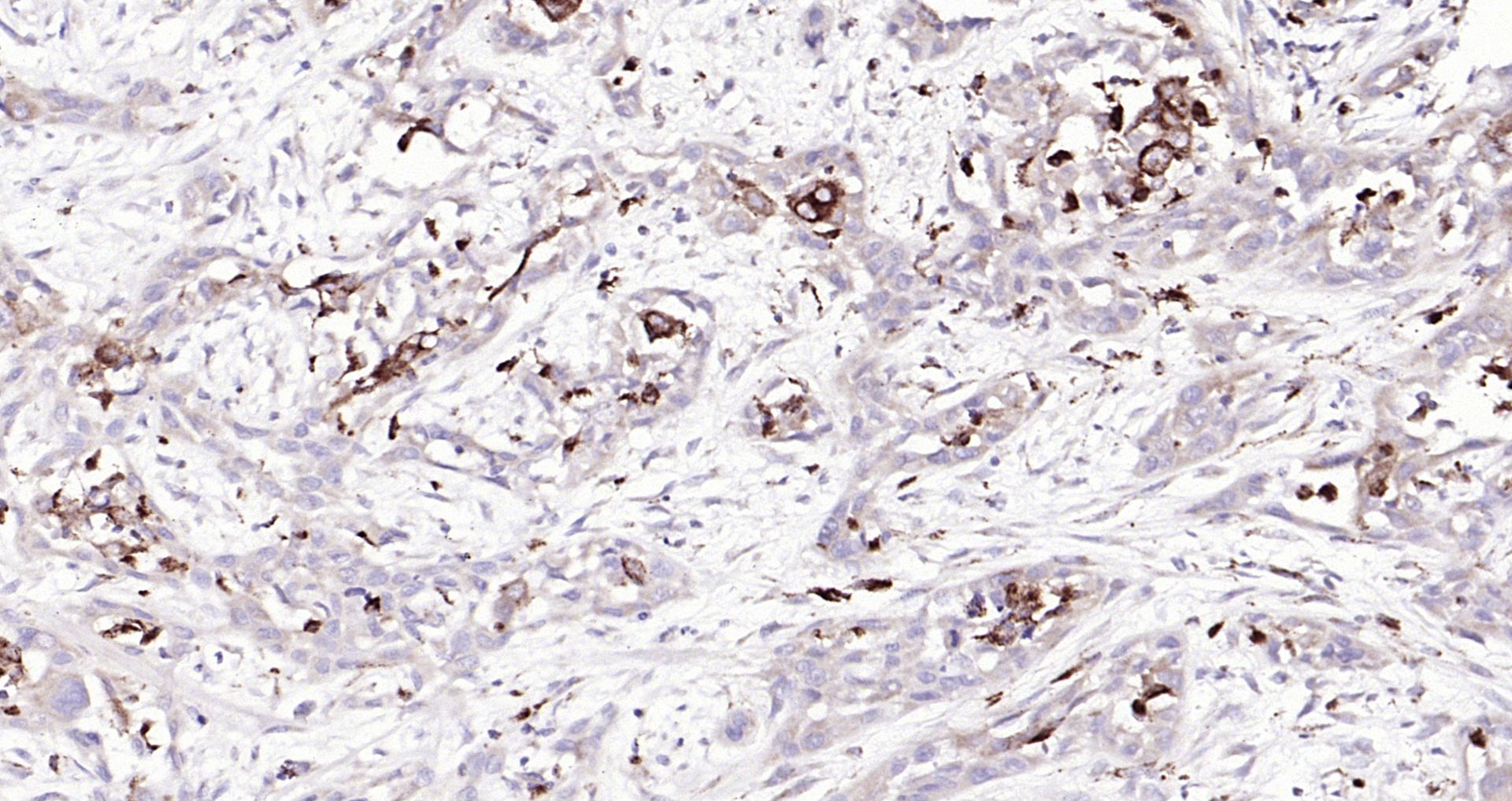
![IHC-P analysis of human breast adenoid cystic carcinoma (ACC) tissue using GTX04373 Mesothelin antibody [MSVA-235M] HistoMAX?. Adenoid cystic breast cancer with strong membranous mesothelin immunostaining in a subset of cells.](https://www.genetex.com/upload/website/prouct_img/normal/GTX04373/GTX04373_20230728_IHC-P_77_23072722_210.webp)