
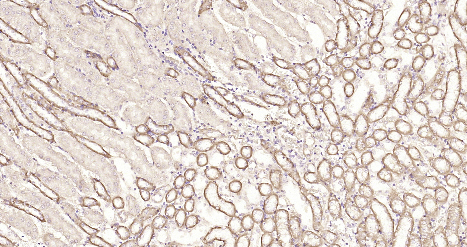
Immunohistochemistry analysis in human kidney and tonsil tissues using HPA027933 antibody. Corresponding MSRB2 RNA-seq data are presented for the same tissues.
Anti-MSRB2 Antibody
HPA027933
ApplicationsWestern Blot, ImmunoHistoChemistry
Product group Antibodies
ReactivityHuman
TargetMSRB2
Overview
- SupplierAtlas Antibodies
- Product NameAnti-MSRB2 Antibody
- Delivery Days Customer4
- ApplicationsWestern Blot, ImmunoHistoChemistry
- CertificationResearch Use Only
- ClonalityPolyclonal
- ConjugateUnconjugated
- Gene ID22921
- Target nameMSRB2
- Target descriptionmethionine sulfoxide reductase B2
- Target synonymsCBS-1, CBS1, CGI-131, MSRB, PILB, methionine-R-sulfoxide reductase B2, mitochondrial, pilin-like transcription factor
- HostRabbit
- IsotypeIgG
- Protein IDQ9Y3D2
- Protein NameMethionine-R-sulfoxide reductase B2, mitochondrial
- Scientific DescriptionRecombinant Protein Epitope Signature Tag (PrEST) antigen sequence
- ReactivityHuman
- Storage Instruction-20°C,2°C to 8°C
- UNSPSC41116161






