
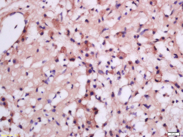
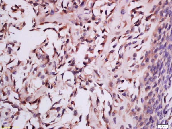
Paraformaldehyde-fixed, paraffin embedded Mouse kidney; Antigen retrieval by boiling in sodium citrate buffer (pH6.0) for 15min; Block endogenous peroxidase by 3% hydrogen peroxide for 20 minutes; Blocking buffer (normal goat serum) at 37°C for 30min; Antibody incubation with MSRB2 Polyclonal Antibody, Unconjugated (bs-17861R) at 1:200 overnight at 4°C, DAB staining.
MSRB2 Polyclonal Antibody
BS-17861R
ApplicationsImmunoFluorescence, Western Blot, ELISA, ImmunoCytoChemistry, ImmunoHistoChemistry, ImmunoHistoChemistry Frozen, ImmunoHistoChemistry Paraffin
Product group Antibodies
ReactivityCanine, Equine, Human, Mouse, Rat
TargetMSRB2
Overview
- SupplierBioss
- Product NameMSRB2 Polyclonal Antibody
- Delivery Days Customer16
- ApplicationsImmunoFluorescence, Western Blot, ELISA, ImmunoCytoChemistry, ImmunoHistoChemistry, ImmunoHistoChemistry Frozen, ImmunoHistoChemistry Paraffin
- Applications SupplierWB(1:300-5000), ELISA(1:500-1000), IHC-P(1:200-400), IHC-F(1:100-500), IF(IHC-P)(1:50-200), IF(IHC-F)(1:50-200), IF(ICC)(1:50-200)
- CertificationResearch Use Only
- ClonalityPolyclonal
- Concentration1 ug/ul
- ConjugateUnconjugated
- Gene ID22921
- Target nameMSRB2
- Target descriptionmethionine sulfoxide reductase B2
- Target synonymsCBS-1, CBS1, CGI-131, MSRB, PILB, methionine-R-sulfoxide reductase B2, mitochondrial, pilin-like transcription factor
- HostRabbit
- IsotypeIgG
- Protein IDQ9Y3D2
- Protein NameMethionine-R-sulfoxide reductase B2, mitochondrial
- ReactivityCanine, Equine, Human, Mouse, Rat
- Storage Instruction-20°C
- UNSPSC41116161







