
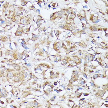
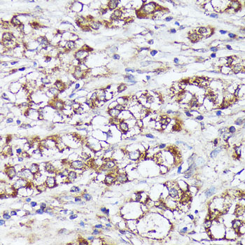
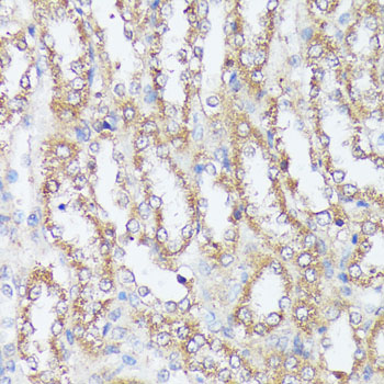
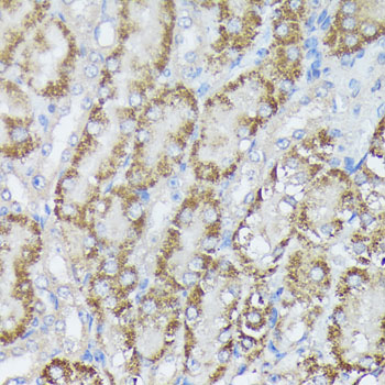
Anti-MTHFD2 Antibody
A11302
ApplicationsImmunoFluorescence, Western Blot, ImmunoCytoChemistry, ImmunoHistoChemistry
Product group Antibodies
ReactivityHuman, Mouse, Rat
Overview
- SupplierAntibodies.com
- Product NameAnti-MTHFD2 Antibody
- Delivery Days Customer7
- ApplicationsImmunoFluorescence, Western Blot, ImmunoCytoChemistry, ImmunoHistoChemistry
- CertificationResearch Use Only
- ClonalityPolyclonal
- ConjugateUnconjugated
- HostRabbit
- IsotypeIgG
- Scientific DescriptionRabbit polyclonal antibody to MTHFD2.
- ReactivityHuman, Mouse, Rat
- UNSPSC12352203







![Various whole cell extracts (30 μg) were separated by 10% SDS-PAGE, and the membrane was blotted with MTHFD2 antibody [N1C3] (GTX104990) diluted at 1:1000. The HRP-conjugated anti-rabbit IgG antibody (GTX213110-01) was used to detect the primary antibody.](https://www.genetex.com/upload/website/prouct_img/normal/GTX104990/GTX104990_44727_20220715_WB_23032819_842.webp)