
Anti-MUC2 Antibody
A91628
ApplicationsImmunoFluorescence, Western Blot, ImmunoCytoChemistry, ImmunoHistoChemistry
Product group Antibodies
ReactivityHuman, Mouse, Rat
Overview
- SupplierAntibodies.com
- Product NameAnti-MUC2 Antibody
- Delivery Days Customer7
- ApplicationsImmunoFluorescence, Western Blot, ImmunoCytoChemistry, ImmunoHistoChemistry
- CertificationResearch Use Only
- ClonalityPolyclonal
- ConjugateUnconjugated
- HostRabbit
- IsotypeIgG
- Scientific DescriptionRabbit polyclonal antibody to MUC2.
- ReactivityHuman, Mouse, Rat
- UNSPSC12352203








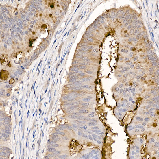
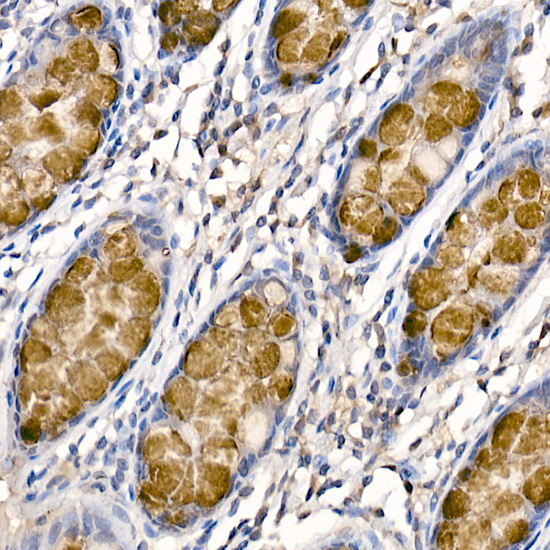
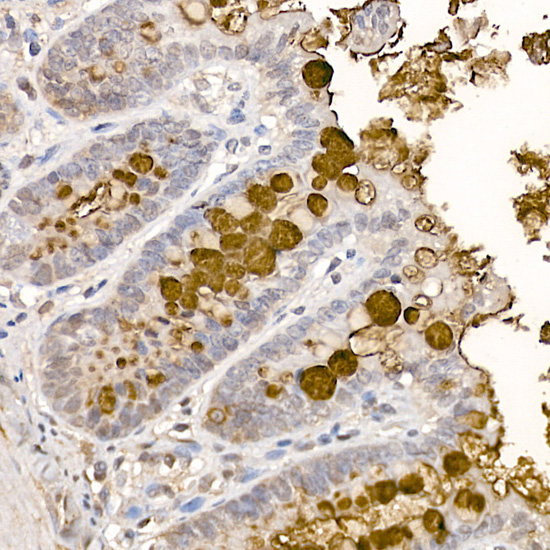
![MUC2 antibody [C3], C-term detects secreted MUC2 protein in human intestine by immunohistochemical analysis. Sample: Paraffin-embedded human intestine. MUC2 antibody [C3], C-term (GTX100664) diluted at 1:750.
Antigen Retrieval: Citrate buffer, pH 6.0, 15 min](https://www.genetex.com/upload/website/prouct_img/normal/GTX100664/GTX100664_42774_20170926_IHC-P_1_w_23060100_790.webp)