
Anti-MUC3A Antibody
A46138
ApplicationsImmunoHistoChemistry
Product group Antibodies
ReactivityHuman
Overview
- SupplierAntibodies.com
- Product NameAnti-MUC3A Antibody
- Delivery Days Customer7
- ApplicationsImmunoHistoChemistry
- CertificationResearch Use Only
- ClonalityPolyclonal
- Concentration2.2 mg/ml
- ConjugateUnconjugated
- HostRabbit
- Scientific DescriptionRabbit polyclonal antibody to MUC3A
- ReactivityHuman
- UNSPSC12352203




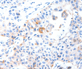
![IHC-P analysis of human gastric carcinoma section using GTX02755 MUC3 antibody [MUC3/2992R].](https://www.genetex.com/upload/website/prouct_img/normal/GTX02755/GTX02755_20210319_IHC-P_w_23053122_987.webp)


