
Anti-NDUFV1 Antibody
A16038
ApplicationsWestern Blot, ImmunoHistoChemistry
Product group Antibodies
ReactivityHuman, Mouse, Rat
Overview
- SupplierAntibodies.com
- Product NameAnti-NDUFV1 Antibody
- Delivery Days Customer7
- ApplicationsWestern Blot, ImmunoHistoChemistry
- CertificationResearch Use Only
- ClonalityPolyclonal
- ConjugateUnconjugated
- HostRabbit
- IsotypeIgG
- Scientific DescriptionRabbit polyclonal antibody to NDUFV1.
- ReactivityHuman, Mouse, Rat
- UNSPSC12352203





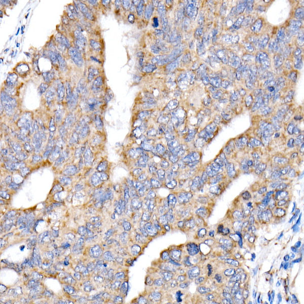
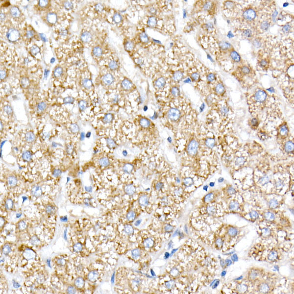
![Immunohistochemical analysis of paraffin-embedded zebrafish tissue, using NDUFV1 antibody [N3C3] (GTX102209) at 1:300 dilution.](https://www.genetex.com/upload/website/prouct_img/normal/GTX102209/GTX102209_40073_IHC_Z_22111423_752.webp)




