![Immunohistochemical analysis of paraffin-embedded zebrafish tissue, using NDUFV1 antibody [N3C3] (GTX102209) at 1:300 dilution. Immunohistochemical analysis of paraffin-embedded zebrafish tissue, using NDUFV1 antibody [N3C3] (GTX102209) at 1:300 dilution.](https://www.genetex.com/upload/website/prouct_img/normal/GTX102209/GTX102209_40073_IHC_Z_22111423_752.webp)
Immunohistochemical analysis of paraffin-embedded zebrafish tissue, using NDUFV1 antibody [N3C3] (GTX102209) at 1:300 dilution.
NDUFV1 antibody [N3C3]
GTX102209
ApplicationsWestern Blot, ImmunoHistoChemistry, ImmunoHistoChemistry Paraffin
Product group Antibodies
ReactivityHuman, Mouse, Zebra Fish
TargetNDUFV1
Overview
- SupplierGeneTex
- Product NameNDUFV1 antibody [N3C3]
- Delivery Days Customer9
- Application Supplier NoteWB: 1:500-1:3000. IHC-P: 1:100-1:1000. *Optimal dilutions/concentrations should be determined by the researcher.Not tested in other applications.
- ApplicationsWestern Blot, ImmunoHistoChemistry, ImmunoHistoChemistry Paraffin
- CertificationResearch Use Only
- ClonalityPolyclonal
- Concentration0.88 mg/ml
- ConjugateUnconjugated
- Gene ID4723
- Target nameNDUFV1
- Target descriptionNADH:ubiquinone oxidoreductase core subunit V1
- Target synonymsCI-51K, CI51KD, MC1DN4, UQOR1, NADH dehydrogenase [ubiquinone] flavoprotein 1, mitochondrial, NADH dehydrogenase (ubiquinone) flavoprotein 1, 51kDa, NADH-ubiquinone oxidoreductase 51 kDa subunit, complex I 51 kda subunit, complex I 51kDa subunit, complex I, mitochondrial respiratory chain, mitochondrial NADH dehydrogenase ubiquinone flavoprotein 1, mitochondrial NADH:ubiquinone oxidoreductase 51 kda subunit
- HostRabbit
- IsotypeIgG
- Protein IDP49821
- Protein NameNADH dehydrogenase [ubiquinone] flavoprotein 1, mitochondrial
- Scientific DescriptionThe NDUFV1 gene encodes the 51-kD subunit of complex I (NADH:ubiquinone oxidoreductase) of the mitochondrial respiratory chain.[supplied by OMIM]
- ReactivityHuman, Mouse, Zebra Fish
- Storage Instruction-20°C or -80°C,2°C to 8°C
- UNSPSC12352203
References
- Szulik MW, Valdez S, Walsh M, et al. SMYD1a protects the heart from ischemic injury by regulating OPA1-mediated cristae remodeling and supercomplex formation. Basic Res Cardiol. 2023,118(1):20. doi: 10.1007/s00395-023-00991-6Read this paper
- Ishiyama A, Sakai C, Matsushima Y, et al. IBA57 mutations abrogate iron-sulfur cluster assembly leading to cavitating leukoencephalopathy. Neurol Genet. 2017,3(5):e184. doi: 10.1212/NXG.0000000000000184Read this paper
- Su CY, Chang YC, Yang CJ, et al. The opposite prognostic effect of NDUFS1 and NDUFS8 in lung cancer reflects the oncojanus role of mitochondrial complex I. Sci Rep. 2016,6:31357. doi: 10.1038/srep31357Read this paper
![Whole zebrafish extract (30 μg) was separated by 10% SDS-PAGE, and the membrane was blotted with NDUFV1 antibody [N3C3] (GTX102209) diluted at 1:1000. The HRP-conjugated anti-rabbit IgG antibody (GTX213110-01) was used to detect the primary antibody. Whole zebrafish extract (30 μg) was separated by 10% SDS-PAGE, and the membrane was blotted with NDUFV1 antibody [N3C3] (GTX102209) diluted at 1:1000. The HRP-conjugated anti-rabbit IgG antibody (GTX213110-01) was used to detect the primary antibody.](https://www.genetex.com/upload/website/prouct_img/normal/GTX102209/GTX102209_44468_20220422_WB_Z_22111423_468.webp)
![NDUFV1 antibody [N3C3] detects NDUFV1 protein at cytoplasm on mouse kidney by immunohistochemical analysis. Sample: Paraffin-embedded mouse kidney. NDUFV1 antibody [N3C3] (GTX102209) diluted at 1:500.
Antigen Retrieval: Trilogy? (EDTA based, pH 8.0) buffer, 15min NDUFV1 antibody [N3C3] detects NDUFV1 protein at cytoplasm on mouse kidney by immunohistochemical analysis. Sample: Paraffin-embedded mouse kidney. NDUFV1 antibody [N3C3] (GTX102209) diluted at 1:500.
Antigen Retrieval: Trilogy? (EDTA based, pH 8.0) buffer, 15min](https://www.genetex.com/upload/website/prouct_img/normal/GTX102209/GTX102209_40073_20150226_IHC_M_2_w_23060100_442.webp)
![Wild-type (WT) and NDUFV1 knockout (KO) 293T cell extracts (30 μg) were separated by 10% SDS-PAGE, and the membrane was blotted with NDUFV1 antibody [N3C3] (GTX102209) diluted at 1:1000. The HRP-conjugated anti-rabbit IgG antibody (GTX213110-01) was used to detect the primary antibody. Wild-type (WT) and NDUFV1 knockout (KO) 293T cell extracts (30 μg) were separated by 10% SDS-PAGE, and the membrane was blotted with NDUFV1 antibody [N3C3] (GTX102209) diluted at 1:1000. The HRP-conjugated anti-rabbit IgG antibody (GTX213110-01) was used to detect the primary antibody.](https://www.genetex.com/upload/website/prouct_img/normal/GTX102209/GTX102209_44468_20211022_WB_KO_watermark_w_23060100_626.webp)
![Various whole cell extracts (30 μg) were separated by 10% SDS-PAGE, and the membrane was blotted with NDUFV1 antibody [N3C3] (GTX102209) diluted at 1:1000. The HRP-conjugated anti-rabbit IgG antibody (GTX213110-01) was used to detect the primary antibody. Various whole cell extracts (30 μg) were separated by 10% SDS-PAGE, and the membrane was blotted with NDUFV1 antibody [N3C3] (GTX102209) diluted at 1:1000. The HRP-conjugated anti-rabbit IgG antibody (GTX213110-01) was used to detect the primary antibody.](https://www.genetex.com/upload/website/prouct_img/normal/GTX102209/GTX102209_44468_20220114_WB_w_23060100_775.webp)

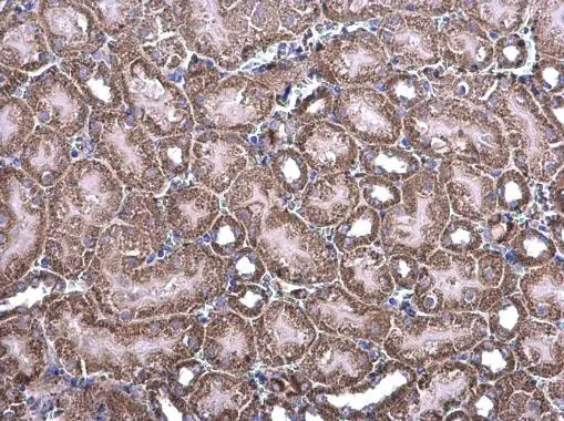
![NDUFV1 antibody [N3C3] detects NDUFV1 protein at cytoplasm on mouse kidney by immunohistochemical analysis. Sample: Paraffin-embedded mouse kidney. NDUFV1 antibody [N3C3] (GTX102209) diluted at 1:500.
Antigen Retrieval: Trilogy? (EDTA based, pH 8.0) buffer, 15min NDUFV1 antibody [N3C3] detects NDUFV1 protein at cytoplasm on mouse kidney by immunohistochemical analysis. Sample: Paraffin-embedded mouse kidney. NDUFV1 antibody [N3C3] (GTX102209) diluted at 1:500.
Antigen Retrieval: Trilogy? (EDTA based, pH 8.0) buffer, 15min](https://www.genetex.com/upload/website/prouct_img/normal/GTX102209/GTX102209_40073_20150226_IHC_M_w_23060100_265.webp)

![Wild-type (WT) and NDUFV1 knockout (KO) 293T cell extracts (30 μg) were separated by 10% SDS-PAGE, and the membrane was blotted with NDUFV1 antibody [HL1600] (GTX637079) diluted at 1:5000. The HRP-conjugated anti-rabbit IgG antibody (GTX213110-01) was used to detect the primary antibody.](https://www.genetex.com/upload/website/prouct_img/normal/GTX637079/GTX637079_T-44725_20220819_WB_KO_watermark_22082402_548.webp)





