
Figure 1. Western blot analysis of NFkB/NFKB2 p100/p52 using anti-NFkB/NFKB2 p100/p52 antibody (PB9150). Electrophoresis was performed on a 5-20% SDS-PAGE gel at 70V (Stacking gel) / 90V (Resolving gel) for 2-3 hours. The sample well of each lane was loaded with 30 ug of sample under reducing conditions. Lane 1: human Hela whole cell lysates, Lane 2: human Jurkat whole cell lysates, Lane 3: human MCF-7 whole cell lysates, Lane 4: human A549 whole cell lysates, Lane 5: human U87 whole cell lysates, Lane 6: mouse lung tissue lysates, Lane 7: mouse RAW264.7 whole cell lysates. After electrophoresis, proteins were transferred to a nitrocellulose membrane at 150 mA for 50-90 minutes. Blocked the membrane with 5% non-fat milk/TBS for 1.5 hour at RT. The membrane was incubated with rabbit anti-NFkB/NFKB2 p100/p52 antigen affinity purified polyclonal antibody (Catalog # PB9150) at 0.5 microg/mL overnight at 4°C, then washed with TBS-0.1%Tween 3 times with 5 minutes each and probed with a goat anti-rabbit IgG-HRP secondary antibody at a dilution of 1:5000 for 1.5 hour at RT. The signal is developed using an Enhanced Chemiluminescent detection (ECL) kit (Catalog # EK1002) with Tanon 5200 system. A specific band was detected for NFkB/NFKB2 p100/p52 at approximately 52 kDa (active form), 120kDa (precursor). The expected band size for NFkB/NFKB2 p100/p52 is at 97 kDa.
Anti-NFkB/NFKB2 p100/p52 Antibody Picoband(r)
PB9150-CARRIER-FREE
ApplicationsWestern Blot, ImmunoHistoChemistry
Product group Antibodies
ReactivityBovine, Human, Mouse, Rat
TargetNFKB2
Overview
- SupplierBoster Bio
- Product NameAnti-NFkB/NFKB2 p100/p52 Antibody Picoband(r)
- Delivery Days Customer9
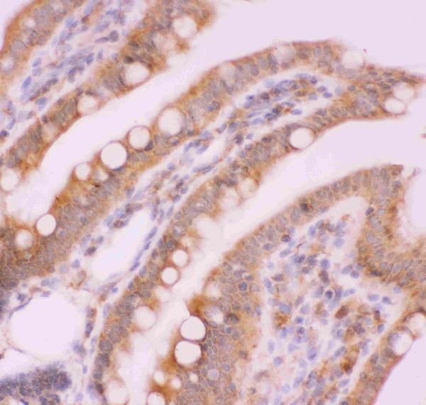
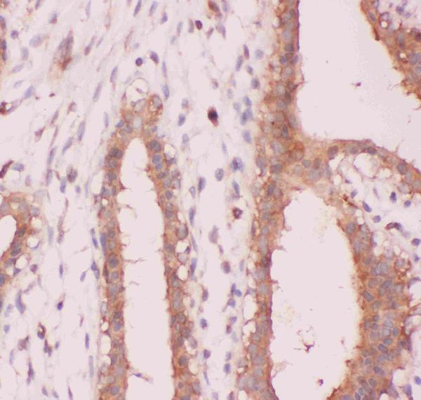
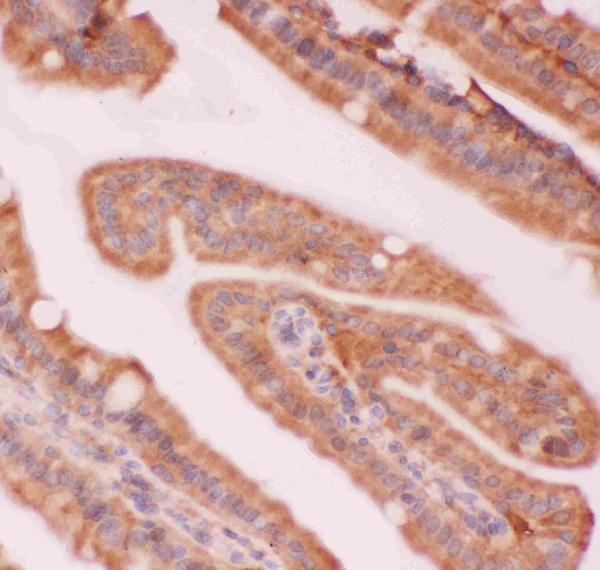
- Application Supplier NoteWB: The detection limit for NFkB p100/p52 is approximately 0.25ng/lane under reducing conditions. Tested Species: In-house tested species with positive results. By Heat: Boiling the paraffin sections in 10mM citrate buffer, pH6.0, for 20mins is required for the staining of formalin/paraffin sections. Other applications have not been tested. Optimal dilutions should be determined by end users.
- ApplicationsWestern Blot, ImmunoHistoChemistry
- CertificationResearch Use Only
- ClonalityPolyclonal
- Concentration500 ug/ml
- Gene ID4791
- Target nameNFKB2
- Target descriptionnuclear factor kappa B subunit 2
- Target synonymsCVID10, H2TF1, LYT-10, LYT10, NF-kB2, p100, p49/p100, p52, nuclear factor NF-kappa-B p100 subunit, DNA-binding factor KBF2, NFKB, p52/p100 subunit, lymphocyte translocation chromosome 10 protein, nuclear factor Kappa-B, subunit 2, nuclear factor NF-kappa-B p52 subunit, nuclear factor of Kappa light chain gene enhancer in B cells 2, nuclear factor of kappa light polypeptide gene enhancer in B-cells 2 (p49/p100), oncogene Lyt-10, transcription factor NFKB2
- HostRabbit
- IsotypeIgG
- Protein IDQ00653
- Protein NameNuclear factor NF-kappa-B p100 subunit
- Scientific DescriptionBoster Bio Anti-NFkB/NFKB2 p100/p52 Antibody Picoband® catalog # PB9150. Tested in IHC, WB applications. This antibody reacts with Human, Mouse, Rat. The brand Picoband indicates this is a premium antibody that guarantees superior quality, high affinity, and strong signals with minimal background in Western blot applications. Only our best-performing antibodies are designated as Picoband, ensuring unmatched performance.
- ReactivityBovine, Human, Mouse, Rat
- Storage Instruction-20°C,2°C to 8°C
- UNSPSC12352203










