
Anti-NOX4 Antibody
A38502
ApplicationsWestern Blot, ImmunoHistoChemistry
Product group Antibodies
ReactivityHuman, Mouse, Rat
Overview
- SupplierAntibodies.com
- Product NameAnti-NOX4 Antibody
- Delivery Days Customer7
- ApplicationsWestern Blot, ImmunoHistoChemistry
- CertificationResearch Use Only
- ClonalityPolyclonal
- Concentration1.0 mg/ml
- ConjugateUnconjugated
- HostRabbit
- Scientific DescriptionRabbit polyclonal antibody to NOX4
- ReactivityHuman, Mouse, Rat
- UNSPSC12352203







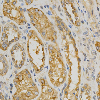
![NOX4 antibody [N3C3] detects NOX4 protein at cytoplasm in rat kidney by immunohistochemical analysis. Sample: Paraffin-embedded rat kidney. NOX4 antibody [N3C3] (GTX121929) diluted at 1:500.
Antigen Retrieval: Citrate buffer, pH 6.0, 15 min](https://www.genetex.com/upload/website/prouct_img/normal/GTX121929/GTX121929_42130_20151005_IHC-P_R_w_23060519_930.webp)