
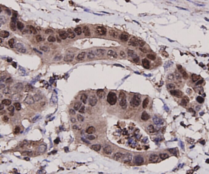
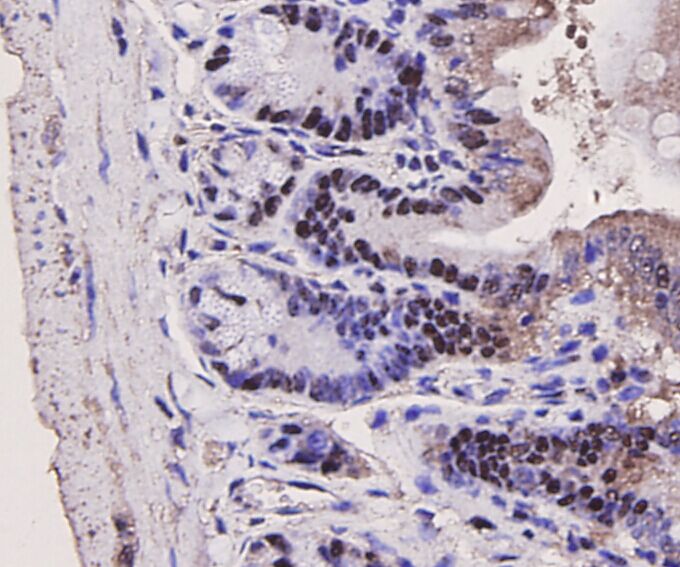
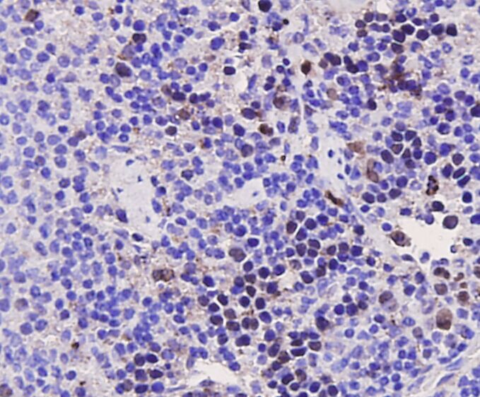
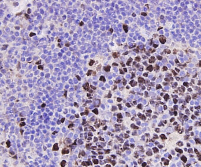
Anti-PCNA Antibody
A32586
ApplicationsFlow Cytometry, Western Blot, ImmunoHistoChemistry
Product group Antibodies
ReactivityHuman, Mouse, Rat
Overview
- SupplierAntibodies.com
- Product NameAnti-PCNA Antibody
- Delivery Days Customer7
- ApplicationsFlow Cytometry, Western Blot, ImmunoHistoChemistry
- CertificationResearch Use Only
- ClonalityMonoclonal
- ConjugateUnconjugated
- HostMouse
- Scientific DescriptionMouse monoclonal antibody to PCNA
- ReactivityHuman, Mouse, Rat
- UNSPSC12352203









