
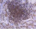
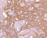
Anti-PKC beta Antibody
A32391
ApplicationsFlow Cytometry, ImmunoFluorescence, Western Blot, ImmunoCytoChemistry, ImmunoHistoChemistry
Product group Antibodies
ReactivityHuman, Mouse, Rat
Overview
- SupplierAntibodies.com
- Product NameAnti-PKC beta Antibody
- Delivery Days Customer7
- ApplicationsFlow Cytometry, ImmunoFluorescence, Western Blot, ImmunoCytoChemistry, ImmunoHistoChemistry
- CertificationResearch Use Only
- ClonalityMonoclonal
- ConjugateUnconjugated
- HostRabbit
- Scientific DescriptionRabbit monoclonal antibody to PKC beta
- ReactivityHuman, Mouse, Rat
- UNSPSC12352203









