
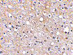
Anti-Plxdc2 Antibody
A47585
ApplicationsWestern Blot, ELISA, ImmunoHistoChemistry
Product group Antibodies
ReactivityHuman, Mouse, Rat
Overview
- SupplierAntibodies.com
- Product NameAnti-Plxdc2 Antibody
- Delivery Days Customer7
- ApplicationsWestern Blot, ELISA, ImmunoHistoChemistry
- CertificationResearch Use Only
- ClonalityPolyclonal
- ConjugateUnconjugated
- HostRabbit
- Scientific DescriptionRabbit polyclonal antibody to Plxdc2
- ReactivityHuman, Mouse, Rat
- UNSPSC12352203



![Various whole cell extracts (30 μg) were separated by 10% SDS-PAGE, and the membrane was blotted with PLXDC2 antibody [N1C1] (GTX118575) diluted at 1:1000.](https://www.genetex.com/upload/website/prouct_img/normal/GTX118575/GTX118575_40716_20161110_WB_w_23060519_611.webp)

