
Anti-PNMT Antibody
A38538
ApplicationsWestern Blot, ImmunoHistoChemistry
Product group Antibodies
ReactivityHuman, Mouse, Rat
Overview
- SupplierAntibodies.com
- Product NameAnti-PNMT Antibody
- Delivery Days Customer7
- ApplicationsWestern Blot, ImmunoHistoChemistry
- CertificationResearch Use Only
- ClonalityPolyclonal
- Concentration1.0 mg/ml
- ConjugateUnconjugated
- HostRabbit
- Scientific DescriptionRabbit polyclonal antibody to PNMT
- ReactivityHuman, Mouse, Rat
- UNSPSC12352203








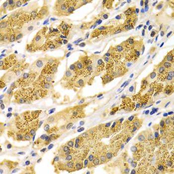
![PNMT antibody [N2C3] detects PNMT protein at cytoplasm by immunohistochemical analysis. Sample: Paraffin-embedded mouse placenta. PNMT stained by PNMT antibody [N2C3] (GTX114098) diluted at 1:500. Antigen Retrieval: Citrate buffer, pH 6.0, 15 min](https://www.genetex.com/upload/website/prouct_img/normal/GTX114098/GTX114098_44545_20220408_IHC-P_M_22071401_140.webp)