
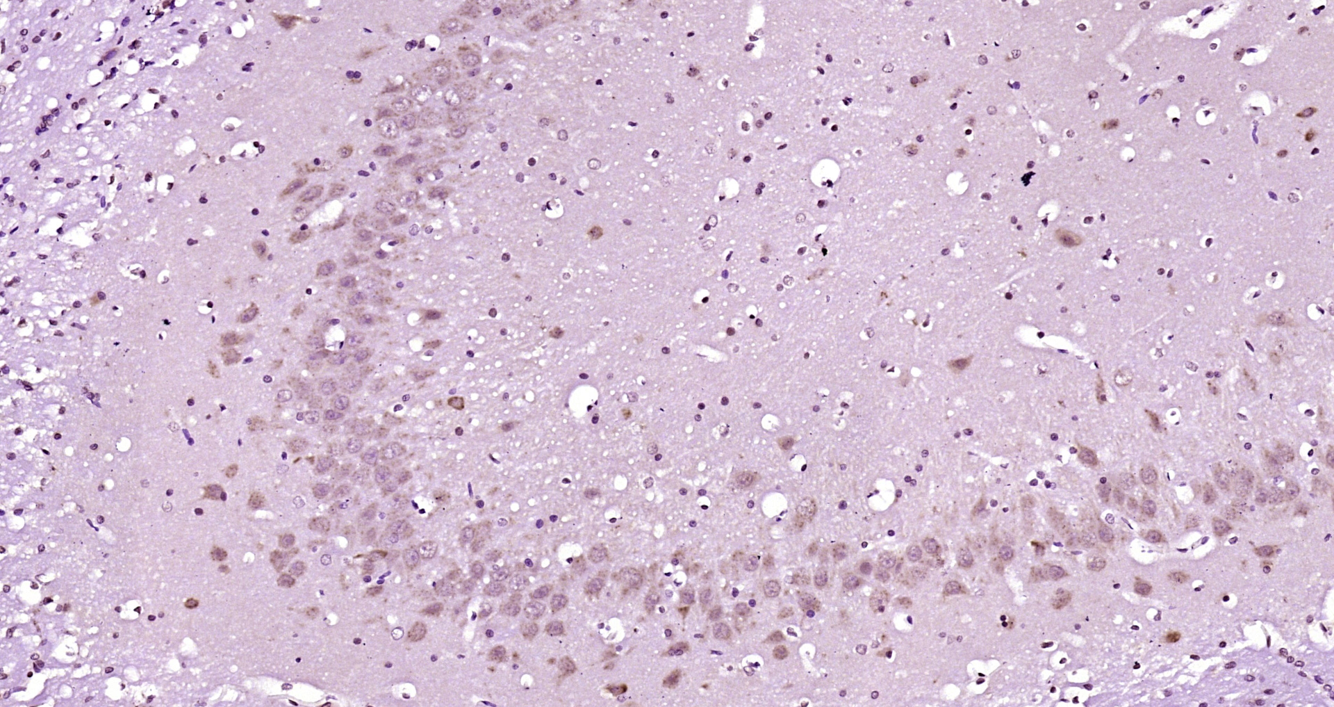
Immunohistochemical staining of human cerebral cortex shows strong cytoplasmic positivity in neuronal cells.
Anti-PRKACB Antibody
HPA029754
ApplicationsImmunoHistoChemistry
Product group Antibodies
ReactivityHuman
TargetPRKACB
Overview
- SupplierAtlas Antibodies
- Product NameAnti-PRKACB Antibody
- Delivery Days Customer4
- ApplicationsImmunoHistoChemistry
- CertificationResearch Use Only
- ClonalityPolyclonal
- ConjugateUnconjugated
- Gene ID5567
- Target namePRKACB
- Target descriptionprotein kinase cAMP-activated catalytic subunit beta
- Target synonymsCAFD2, PKA C-beta, PKACB, cAMP-dependent protein kinase catalytic subunit beta, protein kinase A catalytic subunit beta, protein kinase, cAMP-dependent, beta catalytic subunit, protein kinase, cAMP-dependent, catalytic, beta
- HostRabbit
- IsotypeIgG
- Protein IDP22694
- Protein NamecAMP-dependent protein kinase catalytic subunit beta
- Scientific DescriptionRecombinant Protein Epitope Signature Tag (PrEST) antigen sequence
- ReactivityHuman
- Storage Instruction-20°C,2°C to 8°C
- UNSPSC41116161





