
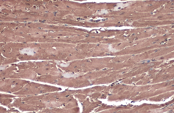
Immunohistochemical staining of human skeletal muscle shows strong cytoplasmic positivity in myocytes.
Anti-RAPGEF1 Antibody
HPA006426
ApplicationsWestern Blot, ImmunoHistoChemistry
Product group Antibodies
ReactivityHuman
TargetRAPGEF1
Overview
- SupplierAtlas Antibodies
- Product NameAnti-RAPGEF1 Antibody
- Delivery Days Customer4
- ApplicationsWestern Blot, ImmunoHistoChemistry
- CertificationResearch Use Only
- ClonalityPolyclonal
- ConjugateUnconjugated
- Gene ID2889
- Target nameRAPGEF1
- Target descriptionRap guanine nucleotide exchange factor 1
- Target synonymsC3G, GRF2, rap guanine nucleotide exchange factor 1, CRK SH3-binding GNRP, Rap guanine nucleotide exchange factor (GEF) 1, guanine nucleotide-releasing factor 2 (specific for crk proto-oncogene)
- HostRabbit
- IsotypeIgG
- Protein IDQ13905
- Protein NameRap guanine nucleotide exchange factor 1
- Scientific DescriptionRecombinant Protein Epitope Signature Tag (PrEST) antigen sequence
- ReactivityHuman
- Storage Instruction-20°C,2°C to 8°C
- UNSPSC41116161



