
Immunofluorescent staining of human cell line Hep G2 shows localization to nucleoplasm.
Anti-RTCA Antibody
HPA027990
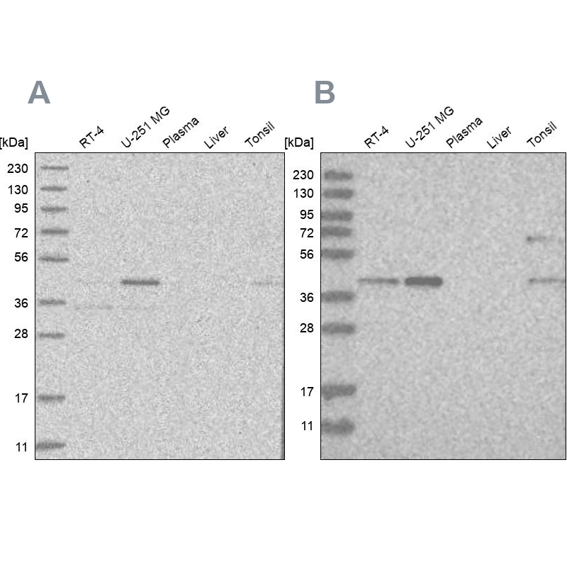
ApplicationsWestern Blot, ImmunoCytoChemistry
Product group Antibodies
ReactivityHuman
TargetRTCA
Overview
- SupplierAtlas Antibodies
- Product NameAnti-RTCA Antibody
- Delivery Days Customer4
- ApplicationsWestern Blot, ImmunoCytoChemistry
- CertificationResearch Use Only
- ClonalityPolyclonal
- ConjugateUnconjugated
- Gene ID8634
- Target nameRTCA
- Target descriptionRNA 3'-terminal phosphate cyclase
- Target synonymsRPC, RTC1, RTCD1, RNA 3'-terminal phosphate cyclase, RNA terminal phosphate cyclase domain 1, RNA terminal phosphate cyclase domain-containing protein 1, RTC domain-containing protein 1
- HostRabbit
- IsotypeIgG
- Protein IDO00442
- Protein NameRNA 3'-terminal phosphate cyclase
- Scientific DescriptionRecombinant Protein Epitope Signature Tag (PrEST) antigen sequence
- ReactivityHuman
- Storage Instruction-20°C,2°C to 8°C
- UNSPSC41116161







