
Immunohistochemical staining of human cerebral cortex shows moderate cytoplasmic positivity in neuronal cells.
Anti-RUFY3 Antibody
HPA022970
ApplicationsWestern Blot, ImmunoCytoChemistry, ImmunoHistoChemistry
Product group Antibodies
ReactivityHuman, Mouse, Rat
TargetRUFY3
Overview
- SupplierAtlas Antibodies
- Product NameAnti-RUFY3 Antibody
- Delivery Days Customer4
- ApplicationsWestern Blot, ImmunoCytoChemistry, ImmunoHistoChemistry
- CertificationResearch Use Only
- ClonalityPolyclonal
- ConjugateUnconjugated
- Gene ID22902
- Target nameRUFY3
- Target descriptionRUN and FYVE domain containing 3
- Target synonymsRIPX, SINGAR1, ZFYVE30, protein RUFY3, rap2 interacting protein x, single axon-regulated protein, single axon-related 1
- HostRabbit
- IsotypeIgG
- Protein IDQ7L099
- Protein NameProtein RUFY3
- Scientific DescriptionRecombinant Protein Epitope Signature Tag (PrEST) antigen sequence
- ReactivityHuman, Mouse, Rat
- Storage Instruction-20°C,2°C to 8°C
- UNSPSC41116161




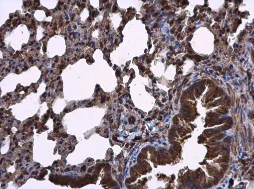
![RIPX antibody [N1C1] detects RIPX protein at cytoplasm in mouse lung by immunohistochemical analysis. Sample: Paraffin-embedded mouse lung. RIPX antibody [N1C1] (GTX118968) diluted at 1:500.
Antigen Retrieval: Citrate buffer, pH 6.0, 15 min](https://www.genetex.com/upload/website/prouct_img/normal/GTX118968/GTX118968_40408_20150724_IHC-P_M_w_23060519_425.webp)
