
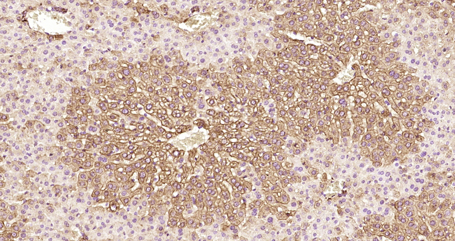
Immunohistochemical staining of human liver shows weak cytoplasmic positivity in hepatocytes.
Anti-SERPINA4 Antibody
HPA003607
ApplicationsImmunoHistoChemistry
Product group Antibodies
ReactivityHuman
TargetSERPINA4
Overview
- SupplierAtlas Antibodies
- Product NameAnti-SERPINA4 Antibody
- Delivery Days Customer4
- ApplicationsImmunoHistoChemistry
- CertificationResearch Use Only
- ClonalityPolyclonal
- ConjugateUnconjugated
- Gene ID5267
- Target nameSERPINA4
- Target descriptionserpin family A member 4
- Target synonymsKAL, KLST, KST, PI-4, PI4, kallistatin, kallistatin, kallikrein inhibitor, peptidase inhibitor 4, protease inhibitor 4 (kallistatin), serine (or cysteine) proteinase inhibitor, clade A (alpha-1 antiproteinase, antitrypsin), member 4, serpin A4, serpin peptidase inhibitor, clade A (alpha-1 antiproteinase, antitrypsin), member 4, sserpin family A member 4, testicular secretory protein Li 22
- HostRabbit
- IsotypeIgG
- Protein IDP29622
- Protein NameKallistatin
- Scientific DescriptionRecombinant Protein Epitope Signature Tag (PrEST) antigen sequence
- ReactivityHuman
- Storage Instruction-20°C,2°C to 8°C
- UNSPSC41116161






