
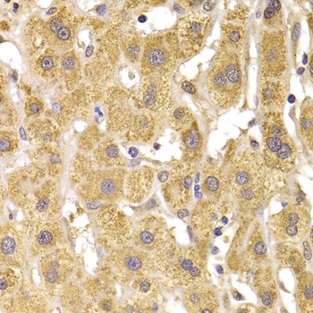
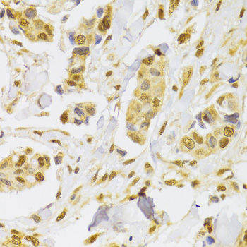
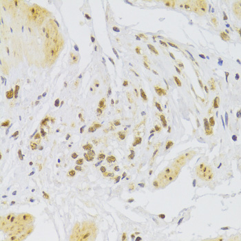
Anti-SLUG Antibody
A92066
ApplicationsWestern Blot, ImmunoHistoChemistry
Product group Antibodies
Overview
- SupplierAntibodies.com
- Product NameAnti-SLUG Antibody
- Delivery Days Customer7
- ApplicationsWestern Blot, ImmunoHistoChemistry
- CertificationResearch Use Only
- ClonalityPolyclonal
- ConjugateUnconjugated
- HostRabbit
- IsotypeIgG
- Scientific DescriptionRabbit polyclonal antibody to SLUG.
- UNSPSC12352203









