
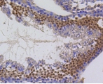
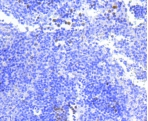
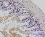
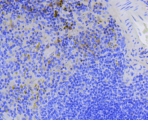
Anti-Survivin Antibody
A32327
ApplicationsWestern Blot, ImmunoHistoChemistry
Product group Antibodies
ReactivityMouse, Rat
Overview
- SupplierAntibodies.com
- Product NameAnti-Survivin Antibody
- Delivery Days Customer7
- ApplicationsWestern Blot, ImmunoHistoChemistry
- CertificationResearch Use Only
- ClonalityMonoclonal
- ConjugateUnconjugated
- HostRabbit
- Scientific DescriptionRabbit monoclonal antibody to Survivin
- ReactivityMouse, Rat
- UNSPSC12352203












