
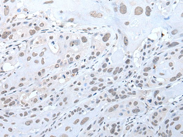
Immunohistochemical staining of human adrenal gland shows strong cytoplasmic and nuclear positivity in glandular cells.
Anti-TRIM23 Antibody
HPA039605
ApplicationsImmunoHistoChemistry
Product group Antibodies
ReactivityHuman
TargetTRIM23
Overview
- SupplierAtlas Antibodies
- Product NameAnti-TRIM23 Antibody
- Delivery Days Customer4
- ApplicationsImmunoHistoChemistry
- CertificationResearch Use Only
- ClonalityPolyclonal
- ConjugateUnconjugated
- Gene ID373
- Target nameTRIM23
- Target descriptiontripartite motif containing 23
- Target synonymsARD1, ARFD1, RNF46, E3 ubiquitin-protein ligase TRIM23, ADP-ribosylation factor domain protein 1, 64kDa, ADP-ribosylation factor domain-containing protein 1, ARF domain protein 1, GTP-binding protein ARD-1, RING finger protein 46, RING-type E3 ubiquitin transferase TRIM23, tripartite motif protein TRIM23, tripartite motif-containing protein 23
- HostRabbit
- IsotypeIgG
- Protein IDP36406
- Protein NameE3 ubiquitin-protein ligase TRIM23
- Scientific DescriptionRecombinant Protein Epitope Signature Tag (PrEST) antigen sequence
- ReactivityHuman
- Storage Instruction-20°C,2°C to 8°C
- UNSPSC41116161



![Various whole cell extracts (30 μg) were separated by 10% SDS-PAGE, and the membrane was blotted with TRIM23 antibody [N1], N-term (GTX100057) diluted at 1:1000. The HRP-conjugated anti-rabbit IgG antibody (GTX213110-01) was used to detect the primary antibody.](https://www.genetex.com/upload/website/prouct_img/normal/GTX100057/GTX100057_44245_20210326_WB_w_23053123_994.webp)

