
Figure 1. Western blot analysis of TRMT61B using anti-TRMT61B antibody (A12682-2). Electrophoresis was performed on a 5-20% SDS-PAGE gel at 70V (Stacking gel) / 90V (Resolving gel) for 2-3 hours. The sample well of each lane was loaded with 30 ug of sample under reducing conditions. Lane 1: human HepG2 whole cell lysates, Lane 2: human Hela whole cell lysates, Lane 3: human A549 whole cell lysates, Lane 4: human PC-3 whole cell lysates, Lane 5: human Daudi whole cell lysates, Lane 6: human SH-SY5Y whole cell lysates, Lane 7: human A431 whole cell lysates. After electrophoresis, proteins were transferred to a nitrocellulose membrane at 150 mA for 50-90 minutes. Blocked the membrane with 5% non-fat milk/TBS for 1.5 hour at RT. The membrane was incubated with rabbit anti-TRMT61B antigen affinity purified polyclonal antibody (Catalog # A12682-2) at 0.5 microg/mL overnight at 4°C, then washed with TBS-0.1%Tween 3 times with 5 minutes each and probed with a goat anti-rabbit IgG-HRP secondary antibody at a dilution of 1:5000 for 1.5 hour at RT. The signal is developed using an Enhanced Chemiluminescent detection (ECL) kit (Catalog # EK1002) with Tanon 5200 system. A specific band was detected for TRMT61B at approximately 57 kDa. The expected band size for TRMT61B is at 53 kDa.
Anti-TRMT61B Antibody Picoband(r)
A12682-2-CARRIER-FREE
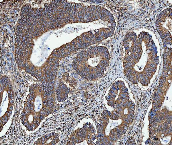
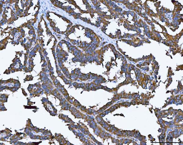
ApplicationsFlow Cytometry, ImmunoFluorescence, Western Blot, ELISA, ImmunoHistoChemistry
Product group Antibodies
ReactivityHuman
TargetTRMT61B
Overview
- SupplierBoster Bio
- Product NameAnti-TRMT61B Antibody Picoband(r)
- Delivery Days Customer9
- ApplicationsFlow Cytometry, ImmunoFluorescence, Western Blot, ELISA, ImmunoHistoChemistry
- CertificationResearch Use Only
- ClonalityPolyclonal
- Concentration500 ug/ml
- Gene ID55006
- Target nameTRMT61B
- Target descriptiontRNA methyltransferase 61B
- Target synonymstRNA (adenine(58)-N(1))-methyltransferase, mitochondrial, mRNA methyladenosine-N(1)-methyltransferase, potential tRNA (adenine(58)-N(1))-methyltransferase catalytic subunit TRMT61B, potential tRNA (adenine-N(1)-)-methyltransferase catalytic subunit TRMT61B, tRNA methyltransferase 61 homolog B
- HostRabbit
- IsotypeIgG
- Protein IDQ9BVS5
- Protein NametRNA (adenine(58)-N(1))-methyltransferase, mitochondrial
- Scientific DescriptionBoster Bio Anti-TRMT61B Antibody Picoband® catalog # A12682-2. Tested in ELISA, Flow Cytometry, IF, IHC, WB applications. This antibody reacts with Human. The brand Picoband indicates this is a premium antibody that guarantees superior quality, high affinity, and strong signals with minimal background in Western blot applications. Only our best-performing antibodies are designated as Picoband, ensuring unmatched performance.
- ReactivityHuman
- Storage Instruction-20°C,2°C to 8°C
- UNSPSC12352203









