
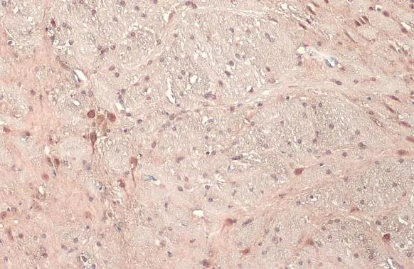
Figure 2. IHC analysis of UBE3A using anti-UBE3A antibody (A00582). UBE3A was detected in paraffin-embedded section of human gastric cancer tissue. Heat mediated antigen retrieval was performed in EDTA buffer (pH8.0, epitope retrieval solution). The tissue section was blocked with 10% goat serum. The tissue section was then incubated with 1microg/ml rabbit anti-UBE3A Antibody (A00582) overnight at 4°C. Biotinylated goat anti-rabbit IgG was used as secondary antibody and incubated for 30 minutes at 37°C. The tissue section was developed using Strepavidin-Biotin-Complex (SABC) (Catalog # SA1022) with DAB as the chromogen.
Anti-UBE3A Picoband(r) Antibody
A00582-CARRIER-FREE
ApplicationsFlow Cytometry, Western Blot, ELISA, ImmunoHistoChemistry
Product group Antibodies
ReactivityHuman
TargetUBE3A
Overview
- SupplierBoster Bio
- Product NameAnti-UBE3A Picoband(r) Antibody
- Delivery Days Customer9
- Application Supplier NoteTested Species: In-house tested species with positive results. Other applications have not been tested. Optimal dilutions should be determined by end users.
- ApplicationsFlow Cytometry, Western Blot, ELISA, ImmunoHistoChemistry
- CertificationResearch Use Only
- ClonalityPolyclonal
- Concentration500 ug/ml
- Gene ID7337
- Target nameUBE3A
- Target descriptionubiquitin protein ligase E3A
- Target synonymsANCR, AS, E6-AP, EPVE6AP, HPVE6A, PIX1, ubiquitin-protein ligase E3A, CTCL tumor antigen se37-2, E6AP ubiquitin-protein ligase, HECT-type ubiquitin transferase E3A, human papilloma virus E6-associated protein, human papillomavirus E6-associated protein, oncogenic protein-associated protein E6-AP, renal carcinoma antigen NY-REN-54
- HostRabbit
- IsotypeIgG
- Protein IDQ05086
- Protein NameUbiquitin-protein ligase E3A
- Scientific DescriptionBoster Bio Anti-UBE3A Picoband® Antibody catalog # A00582. Tested in ELISA, Flow Cytometry, IHC, WB applications. This antibody reacts with Human. The brand Picoband indicates this is a premium antibody that guarantees superior quality, high affinity, and strong signals with minimal background in Western blot applications. Only our best-performing antibodies are designated as Picoband, ensuring unmatched performance.
- ReactivityHuman
- Storage Instruction-20°C,2°C to 8°C
- UNSPSC12352203







