
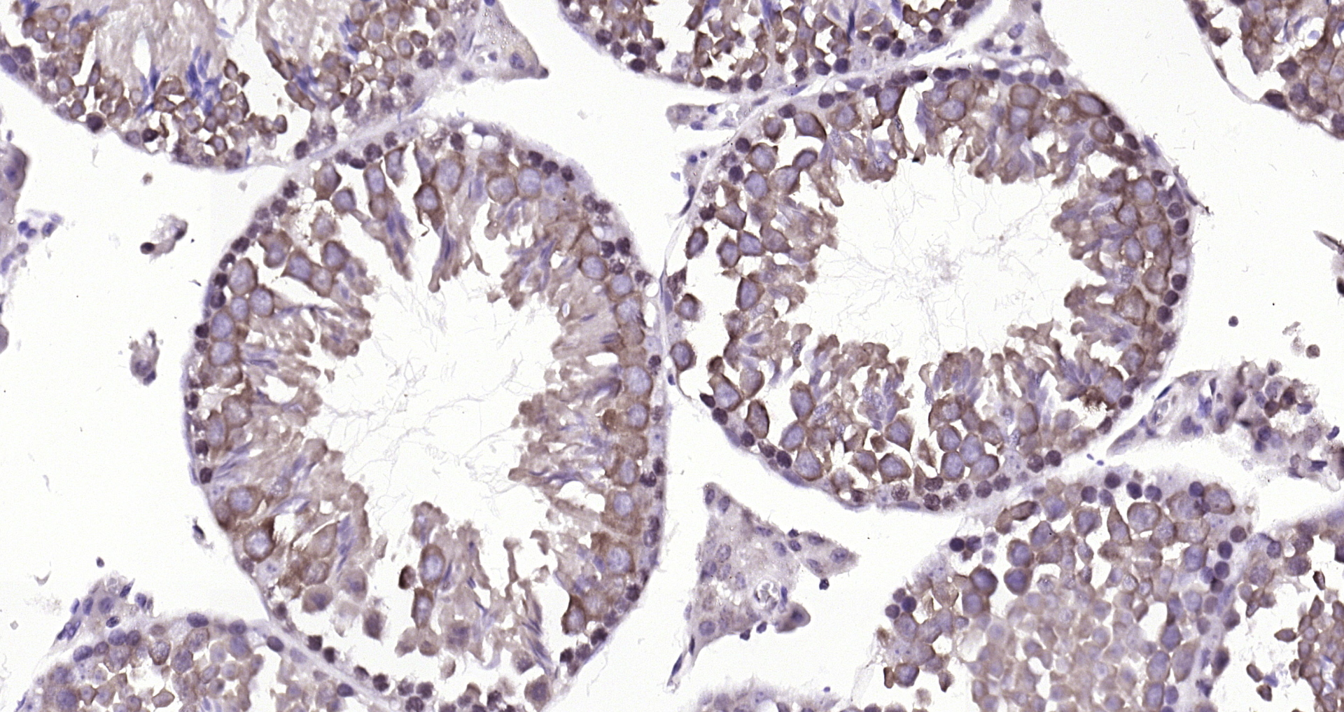
Immunohistochemical staining of human testis shows strong cytoplasmic positivity in cells in seminiferus ducts.
Anti-YBX3 Antibody
HPA034838
ApplicationsImmunoCytoChemistry, ImmunoHistoChemistry
Product group Antibodies
ReactivityHuman
TargetYBX3
Overview
- SupplierAtlas Antibodies
- Product NameAnti-YBX3 Antibody
- Delivery Days Customer4
- ApplicationsImmunoCytoChemistry, ImmunoHistoChemistry
- CertificationResearch Use Only
- ClonalityPolyclonal
- ConjugateUnconjugated
- Gene ID8531
- Target nameYBX3
- Target descriptionY-box binding protein 3
- Target synonymsCSDA, CSDA1, DBPA, ZONAB, Y-box-binding protein 3, DNA-binding protein A, ZO-1-associated nucleic acid-binding protein, cold shock domain-containing protein A, cold-shock domain containing A1, cold-shock domain protein A, single-strand DNA-binding protein NF-GMB
- HostRabbit
- IsotypeIgG
- Protein IDP16989
- Protein NameY-box-binding protein 3
- Scientific DescriptionRecombinant Protein Epitope Signature Tag (PrEST) antigen sequence
- ReactivityHuman
- Storage Instruction-20°C,2°C to 8°C
- UNSPSC41116161





