
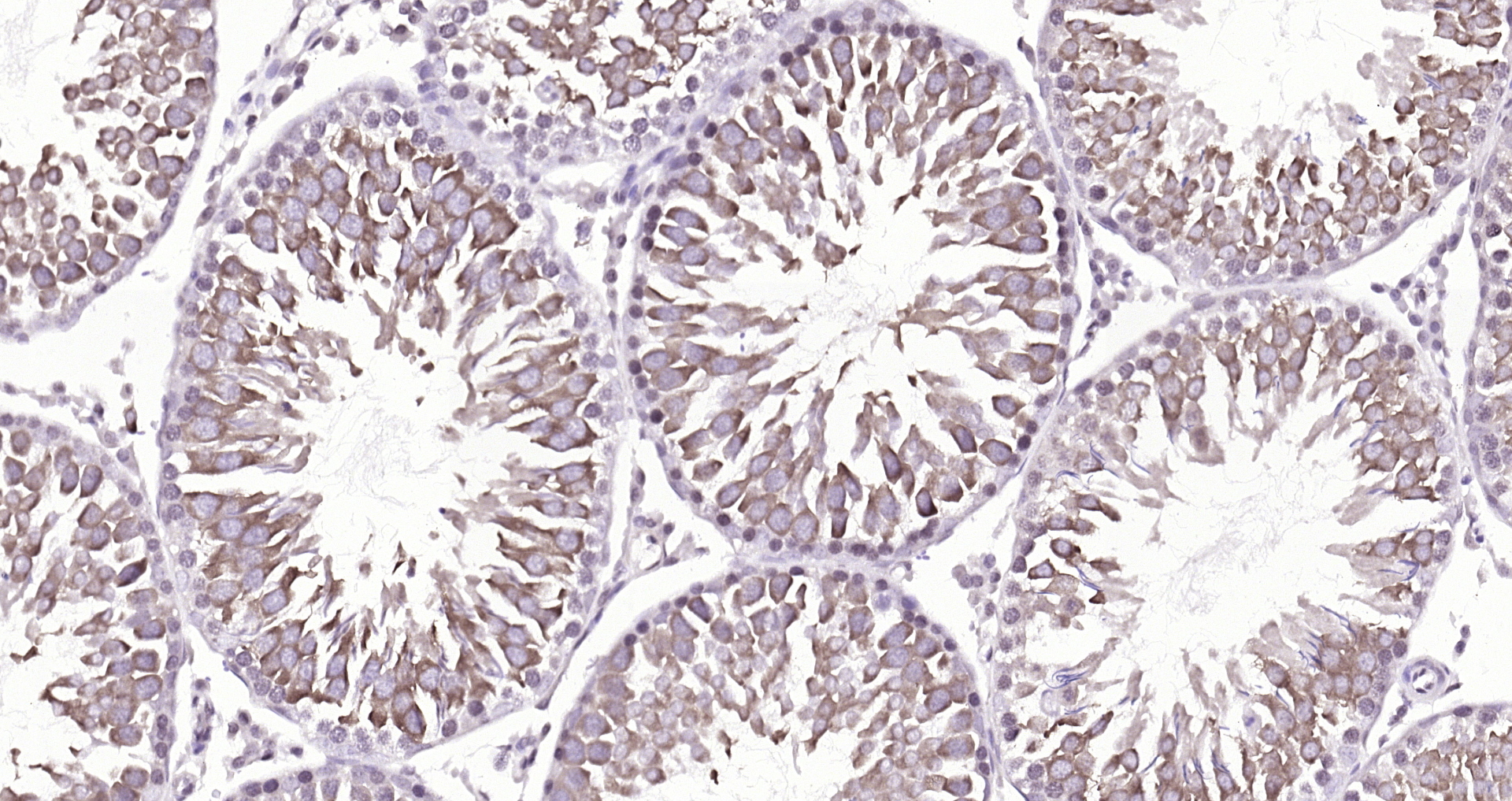
Paraformaldehyde-fixed, paraffin embedded (mouse testis); Antigen retrieval by boiling in sodium citrate buffer (pH6.0) for 15min; Block endogenous peroxidase by 3% hydrogen peroxide for 20 minutes; Blocking buffer (normal goat serum) at 37°C for 30min; Antibody incubation with (DBPA) Polyclonal Antibody, Unconjugated (bs-12985R) at 1:200 overnight at 4°C, followed by operating according to SP Kit(Rabbit) (sp-0023) instructionsand DAB staining.
DBPA Polyclonal Antibody
bs-12985R
ApplicationsImmunoFluorescence, Western Blot, ELISA, ImmunoCytoChemistry, ImmunoHistoChemistry, ImmunoHistoChemistry Frozen, ImmunoHistoChemistry Paraffin
Product group Antibodies
ReactivityBovine, Canine, Human, Mouse, Porcine, Rabbit, Rat, Sheep
TargetYBX3
Overview
- SupplierBioss
- Product NameDBPA Polyclonal Antibody
- Delivery Days Customer16
- ApplicationsImmunoFluorescence, Western Blot, ELISA, ImmunoCytoChemistry, ImmunoHistoChemistry, ImmunoHistoChemistry Frozen, ImmunoHistoChemistry Paraffin
- Applications SupplierWB(1:300-5000), ELISA(1:500-1000), IHC-P(1:200-400), IHC-F(1:100-500), IF(IHC-P)(1:50-200), IF(IHC-F)(1:50-200), IF(ICC)(1:50-200)
- CertificationResearch Use Only
- ClonalityPolyclonal
- Concentration1 ug/ul
- ConjugateUnconjugated
- Gene ID8531
- Target nameYBX3
- Target descriptionY-box binding protein 3
- Target synonymsCSDA, CSDA1, DBPA, ZONAB, Y-box-binding protein 3, DNA-binding protein A, ZO-1-associated nucleic acid-binding protein, cold shock domain-containing protein A, cold-shock domain containing A1, cold-shock domain protein A, single-strand DNA-binding protein NF-GMB
- HostRabbit
- IsotypeIgG
- Protein IDP16989
- Protein NameY-box-binding protein 3
- ReactivityBovine, Canine, Human, Mouse, Porcine, Rabbit, Rat, Sheep
- Storage Instruction-20°C
- UNSPSC12352203












