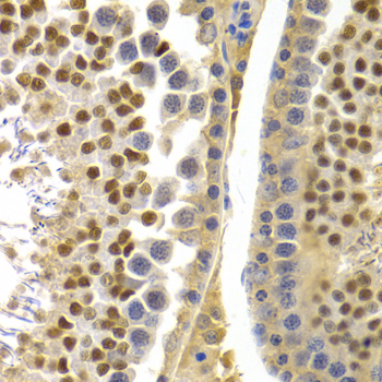
Immunohistochemistry of paraffin-embedded Rat testis using APOBEC3G Polyclonal Antibody at dilution of 1:100 (40x lens).
APOBEC3G Polyclonal Antibody
E-AB-64740
Product group Antibodies
Overview
- SupplierElabscience
- Product NameAPOBEC3G Polyclonal Antibody
- Delivery Days Customer12
- CertificationResearch Use Only
- Scientific DescriptionThis gene is a member of the cytidine deaminase gene family. It is one of seven related genes or pseudogenes found in a cluster, thought to result from gene duplication, on chromosome 22. Members of the cluster encode proteins that are structurally and functionally related to the C to U RNA-editing cytidine deaminase APOBEC1. The protein encoded by this gene catalyzes site-specific deamination of both RNA and single-stranded DNA. The encoded protein has been found to be a specific inhibitor of human immunodeficiency virus-1 (HIV-1) infectivity.
- UNSPSC12352203








