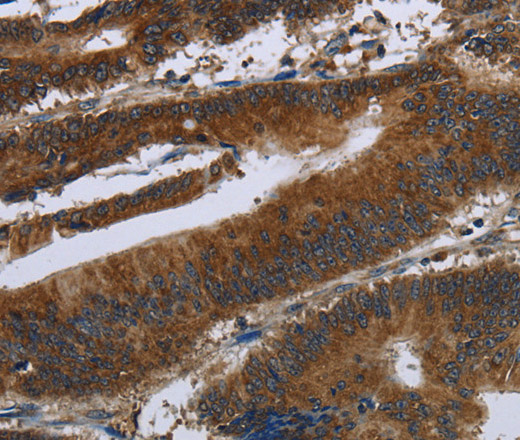
Immunohistochemistry of paraffin-embedded Human colon cancer tissue using ARHGEF12 Polyclonal Antibody at dilution 1:30
ARHGEF12 Polyclonal Antibody
E-AB-16558
Product group Antibodies
Overview
- SupplierElabscience
- Product NameARHGEF12 Polyclonal Antibody
- Delivery Days Customer12
- Applications SupplierELISA IHC
- CertificationResearch Use Only
- Concentration0.7mg/ml
- Scientific DescriptionRho GTPases play a fundamental role in numerous cellular processes that are initiated by extracellular stimuli working through G protein-coupled receptors. The encoded protein may form a complex with G proteins and stimulate Rho-dependent signals. This protein has been observed to form a myeloid/lymphoid fusion partner in acute myeloid leukemia. Two transcript variants encoding different isoforms have been found for this gene.
- UNSPSC12352203






