
Various whole cell extracts (30 μg) were separated by 5% SDS-PAGE, and the membrane was blotted with ARID1A antibody (GTX129433) diluted at 1:1000. The HRP-conjugated anti-rabbit IgG antibody (GTX213110-01) was used to detect the primary antibody.
ARID1A antibody
GTX129433
ApplicationsImmunoFluorescence, ImmunoPrecipitation, Western Blot, ChIP Chromatin ImmunoPrecipitation, ImmunoCytoChemistry, ImmunoHistoChemistry, ImmunoHistoChemistry Paraffin
Product group Antibodies
ReactivityHuman, Mouse
TargetARID1A
Overview
- SupplierGeneTex
- Product NameARID1A antibody
- Delivery Days Customer9
- Application Supplier NoteWB: 1:500-1:3000. ICC/IF: 1:100-1:1000. IHC-P: 1:100-1:1000. IP: 1:100-1:500. *Optimal dilutions/concentrations should be determined by the researcher.Not tested in other applications.
- ApplicationsImmunoFluorescence, ImmunoPrecipitation, Western Blot, ChIP Chromatin ImmunoPrecipitation, ImmunoCytoChemistry, ImmunoHistoChemistry, ImmunoHistoChemistry Paraffin
- CertificationResearch Use Only
- ClonalityPolyclonal
- Concentration0.53 mg/ml
- ConjugateUnconjugated
- Gene ID8289
- Target nameARID1A
- Target descriptionAT-rich interaction domain 1A
- Target synonymsB120, BAF250, BAF250a, BM029, C1orf4, CSS2, ELD, MRD14, OSA1, P270, SMARCF1, hELD, hOSA1, AT-rich interactive domain-containing protein 1A, ARID domain-containing protein 1A, AT rich interactive domain 1A (SWI-like), BRG1-associated factor 250a, OSA1 nuclear protein, SWI-like protein, SWI/SNF complex protein p270, SWI/SNF-related, matrix-associated, actin-dependent regulator of chromatin subfamily F member 1, brain protein 120, chromatin remodeling factor p250, osa homolog 1
- HostRabbit
- IsotypeIgG
- Protein IDO14497
- Protein NameAT-rich interactive domain-containing protein 1A
- Scientific DescriptionThis gene encodes a member of the SWI/SNF family, whose members have helicase and ATPase activities and are thought to regulate transcription of certain genes by altering the chromatin structure around those genes. The encoded protein is part of the large ATP-dependent chromatin remodeling complex SNF/SWI, which is required for transcriptional activation of genes normally repressed by chromatin. It possesses at least two conserved domains that could be important for its function. First, it has a DNA-binding domain that can specifically bind an AT-rich DNA sequence known to be recognized by a SNF/SWI complex at the beta-globin locus. Second, the C-terminus of the protein can stimulate glucocorticoid receptor-dependent transcriptional activation. It is thought that the protein encoded by this gene confers specificity to the SNF/SWI complex and may recruit the complex to its targets through either protein-DNA or protein-protein interactions. Two transcript variants encoding different isoforms have been found for this gene. [provided by RefSeq]
- ReactivityHuman, Mouse
- Storage Instruction-20°C or -80°C,2°C to 8°C
- UNSPSC41116161
![ARID1A antibody detects ARID1A protein at nucleus by immunofluorescent analysis. Sample: HeLa cells were fixed in 4% paraformaldehyde at RT for 15 min. Green: ARID1A stained by ARID1A antibody (GTX129433) diluted at 1:500. Red: alpha Tubulin, a cytoskeleton marker, stained by alpha Tubulin antibody [GT114] (GTX628802) diluted at 1:1000. Scale bar= 10μm. ARID1A antibody detects ARID1A protein at nucleus by immunofluorescent analysis. Sample: HeLa cells were fixed in 4% paraformaldehyde at RT for 15 min. Green: ARID1A stained by ARID1A antibody (GTX129433) diluted at 1:500. Red: alpha Tubulin, a cytoskeleton marker, stained by alpha Tubulin antibody [GT114] (GTX628802) diluted at 1:1000. Scale bar= 10μm.](https://www.genetex.com/upload/website/prouct_img/normal/GTX129433/GTX129433_44552_20220401_ICC_IF_w_23060523_997.webp)





![ARID1A antibody immunoprecipitates ARID1A protein in IP experiments. IP samples: HepG2 whole cell extract A. Control with 4 μg of preimmune Rabbit IgG B. Immunoprecipitation of ARID1A protein by 4 μg ARID1A antibody (GTX129433) 5 % SDS-PAGE The immunoprecipitated ARID1A protein was detected by ARID1A antibody (GTX129433) diluted at 1:500. [EasyBlot anti-rabbit IgG (GTX221666-01) was used as a secondary reagent] ARID1A antibody immunoprecipitates ARID1A protein in IP experiments. IP samples: HepG2 whole cell extract A. Control with 4 μg of preimmune Rabbit IgG B. Immunoprecipitation of ARID1A protein by 4 μg ARID1A antibody (GTX129433) 5 % SDS-PAGE The immunoprecipitated ARID1A protein was detected by ARID1A antibody (GTX129433) diluted at 1:500. [EasyBlot anti-rabbit IgG (GTX221666-01) was used as a secondary reagent]](https://www.genetex.com/upload/website/prouct_img/normal/GTX129433/GTX129433_41500_IP_w_23060523_649.webp)






![Whole cell extract (30 μg) was separated by 5% SDS-PAGE, and the membrane was blotted with ARID1A antibody [HL2304] (GTX638371) diluted at 1:1000. The HRP-conjugated anti-rabbit IgG antibody (GTX213110-01) was used to detect the primary antibody.](https://www.genetex.com/upload/website/prouct_img/normal/GTX638371/GTX638371_T-44991_20230505_WB_23050918_345.webp)

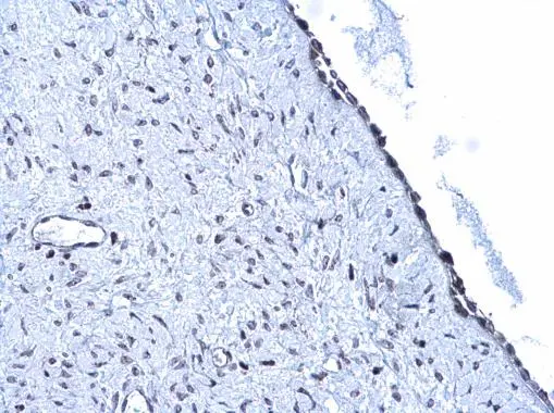
![ARID1A antibody [GT3611] detects ARID1A protein at nucleus by immunohistochemical analysis. Sample: Paraffin-embedded human lung cancer. ARID1A stained by ARID1A antibody [GT3611] (GTX632013) diluted at 1:200.
Antigen Retrieval: Citrate buffer, pH 6.0, 15 min](https://www.genetex.com/upload/website/prouct_img/normal/GTX632013/GTX632013_41911_20180504_IHC-P_w_23061202_914.webp)

