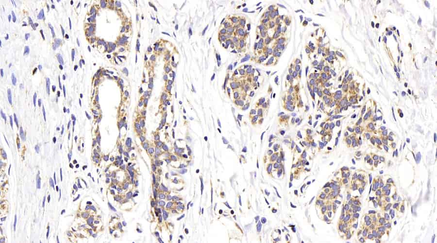
Immunohistochemistry analysis of paraffin-embedded human breast cancer using ATG7 Polyclonal Antibody at dilution of 1:400.
ATG7 Polyclonal Antibody
E-AB-70288
Product group Antibodies
Overview
- SupplierElabscience
- Product NameATG7 Polyclonal Antibody
- Delivery Days Customer12
- CertificationResearch Use Only
- Scientific DescriptionATG7 (Autophagy Related 7) is a Protein Coding gene. Among its related pathways are Autophagy Pathway and Innate Immune System. GO annotations related to this gene include protein homodimerization activity and ubiquitin activating enzyme activity. This gene encodes an E1-like activating enzyme that is essential for autophagy and cytoplasmic to vacuole transport. The encoded protein is also thought to modulate p53-dependent cell cycle pathways during prolonged metabolic stress. It has been associated with multiple functions, including axon membrane trafficking, axonal homeostasis, mitophagy, adipose differentiation, and hematopoietic stem cell maintenance. Alternative splicing results in multiple transcript variants.
- UNSPSC12352203




