Axin 2 Antibody (YA2222, Rabbit)
HY-P82477
TargetAXIN2
Product group Antibodies
Overview
- SupplierMedChem Express
- Product NameAxin 2 Antibody (YA2222, Rabbit)
- Delivery Days Customer5
- CertificationResearch Use Only
- ClonalityMonoclonal
- Gene ID8313
- Target nameAXIN2
- Target descriptionaxin 2
- Target synonymsAXIL, ODCRCS, axin-2, axin-like protein, axis inhibition protein 2, conductin
- HostRabbit
- IsotypeIgG
- Scientific DescriptionAxin 2 Antibody (YA2222) is a non-conjugated IgG antibody, targeting Axin 2, with a predicted molecular weight of 94 kDa (observed band size: 94 kDa). Axin 2 Antibody (YA2222) can be used for WB experiment in human, mouse, rat background.
- Storage Instruction-20°C
- UNSPSC41116161

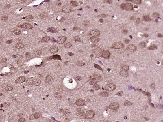
![axin 2 antibody [N2C2], Internal detects axin 2 protein at cytoplasm in rat brain by immunohistochemical analysis. Sample: Paraffin-embedded rat brain. axin 2 antibody [N2C2], Internal (GTX105442) diluted at 1:500.
Antigen Retrieval: Citrate buffer, pH 6.0, 15 min](https://www.genetex.com/upload/website/prouct_img/normal/GTX105442/GTX105442_41066_20160809_IHC-P_R_w_23060120_910.webp)




