
Cross-linked ChIP was performed with MCF-7 chromatin extract treated with TNF-a (10 ng/ml for 30 min) and 5 μg of either control rabbit IgG or anti-BCL10 antibody. The precipitated DNA was detected by PCR with primer set targeting to IκBα.
BCL10 antibody [N1C3]
GTX109159
ApplicationsImmunoPrecipitation, Western Blot, ChIP Chromatin ImmunoPrecipitation, ImmunoHistoChemistry, ImmunoHistoChemistry Paraffin
Product group Antibodies
ReactivityHuman, Mouse
TargetBCL10
Overview
- SupplierGeneTex
- Product NameBCL10 antibody [N1C3]
- Delivery Days Customer9
- Application Supplier NoteWB: 1:500-1:3000. IHC-P: 1:100-1:1000. IP: 1:100-1:500. *Optimal dilutions/concentrations should be determined by the researcher.Not tested in other applications.
- ApplicationsImmunoPrecipitation, Western Blot, ChIP Chromatin ImmunoPrecipitation, ImmunoHistoChemistry, ImmunoHistoChemistry Paraffin
- CertificationResearch Use Only
- ClonalityPolyclonal
- Concentration0.45 mg/ml
- ConjugateUnconjugated
- Gene ID8915
- Target nameBCL10
- Target descriptionBCL10 immune signaling adaptor
- Target synonymsCARMEN, CIPER, CLAP, IMD37, c-E10, mE10, B-cell lymphoma/leukemia 10, B cell CLL/lymphoma 10, CARD containing molecule enhancing NF-kB, CARD-containing apoptotic signaling protein, CARD-containing molecule enhancing NF-kappa-B, CARD-containing proapoptotic protein, CED-3/ICH-1 prodomain homologous E10-like regulator, cCARMEN, caspase-recruiting domain-containing protein, cellular homolog of vCARMEN, cellular-E10, hCLAP, mammalian CARD-containing adapter molecule E10
- HostRabbit
- IsotypeIgG
- Protein IDO95999
- Protein NameB-cell lymphoma/leukemia 10
- Scientific DescriptionThis gene was identified by its translocation in a case of mucosa-associated lymphoid tissue (MALT) lymphoma. The protein encoded by this gene contains a caspase recruitment domain (CARD), and has been shown to induce apoptosis and to activate NF-kappaB. This protein is reported to interact with other CARD domain containing proteins including CARD9, 10, 11 and 14, which are thought to function as upstream regulators in NF-kappaB signaling. This protein is found to form a complex with MALT1, a protein encoded by another gene known to be translocated in MALT lymphoma. MALT1 and this protein are thought to synergize in the activation of NF-kappaB, and the deregulation of either of them may contribute to the same pathogenetic process that leads to the malignancy. [provided by RefSeq]
- ReactivityHuman, Mouse
- Storage Instruction-20°C or -80°C,2°C to 8°C
- UNSPSC41116161
![BCL10 antibody [N1C3] detects BCL10 protein at cytoplasm on human colon carcinoma by immunohistochemical analysis. Sample: Paraffin-embedded human colon carcinoma. BCL10 antibody [N1C3] (GTX109159) diluted at 1:500.
Antigen Retrieval: Trilogy? (EDTA based, pH 8.0) buffer, 15min BCL10 antibody [N1C3] detects BCL10 protein at cytoplasm on human colon carcinoma by immunohistochemical analysis. Sample: Paraffin-embedded human colon carcinoma. BCL10 antibody [N1C3] (GTX109159) diluted at 1:500.
Antigen Retrieval: Trilogy? (EDTA based, pH 8.0) buffer, 15min](https://www.genetex.com/upload/website/prouct_img/normal/GTX109159/GTX109159_39988_20141111_IHC_2_w_23060120_112.webp)
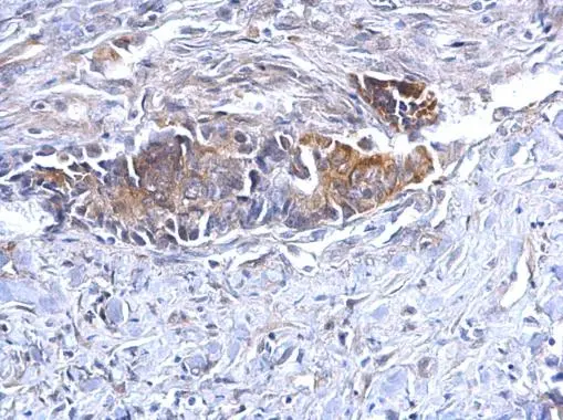
![BCL10 antibody [N1C3] detects BCL10 protein at cytoplasm on human breast carcinoma by immunohistochemical analysis. Sample: Paraffin-embedded human breast carcinoma. BCL10 antibody [N1C3] (GTX109159) diluted at 1:500.
Antigen Retrieval: Trilogy? (EDTA based, pH 8.0) buffer, 15min BCL10 antibody [N1C3] detects BCL10 protein at cytoplasm on human breast carcinoma by immunohistochemical analysis. Sample: Paraffin-embedded human breast carcinoma. BCL10 antibody [N1C3] (GTX109159) diluted at 1:500.
Antigen Retrieval: Trilogy? (EDTA based, pH 8.0) buffer, 15min](https://www.genetex.com/upload/website/prouct_img/normal/GTX109159/GTX109159_39988_20141110_IHC_w_23060120_281.webp)
![BCL10 antibody [N1C3] immunoprecipitates BCL10 protein in IP experiments. IP samples: Raji whole cell extract A. Control with 4 μg of preimmune Rabbit IgG B. Immunoprecipitation of BCL10 protein by 4 μg BCL10 antibody [N1C3] (GTX109159) 12 % SDS-PAGE The immunoprecipitated BCL10 protein was detected by BCL10 antibody [N1C3] (GTX109159) diluted at 1:500. [EasyBlot anti-rabbit IgG (GTX221666-01) was used as a secondary reagent] BCL10 antibody [N1C3] immunoprecipitates BCL10 protein in IP experiments. IP samples: Raji whole cell extract A. Control with 4 μg of preimmune Rabbit IgG B. Immunoprecipitation of BCL10 protein by 4 μg BCL10 antibody [N1C3] (GTX109159) 12 % SDS-PAGE The immunoprecipitated BCL10 protein was detected by BCL10 antibody [N1C3] (GTX109159) diluted at 1:500. [EasyBlot anti-rabbit IgG (GTX221666-01) was used as a secondary reagent]](https://www.genetex.com/upload/website/prouct_img/normal/GTX109159/GTX109159_39988_IP_w_23060120_533.webp)

![Various whole cell extracts (30 μg) were separated by 12% SDS-PAGE, and the membrane was blotted with BCL10 antibody [N1C3] (GTX109159) diluted at 1:1000. The HRP-conjugated anti-rabbit IgG antibody (GTX213110-01) was used to detect the primary antibody. Corresponding RNA expression data for the same cell lines are based on Human Protein Atlas program. Various whole cell extracts (30 μg) were separated by 12% SDS-PAGE, and the membrane was blotted with BCL10 antibody [N1C3] (GTX109159) diluted at 1:1000. The HRP-conjugated anti-rabbit IgG antibody (GTX213110-01) was used to detect the primary antibody. Corresponding RNA expression data for the same cell lines are based on Human Protein Atlas program.](https://www.genetex.com/upload/website/prouct_img/normal/GTX109159/GTX109159_39988_20231208_WB_TPM_watermark_23121122_874.webp)
![Various whole cell extracts (30 μg) were separated by 12% SDS-PAGE, and the membrane was blotted with BCL10 antibody [N1C3] (GTX109159) diluted at 1:1000. The HRP-conjugated anti-rabbit IgG antibody (GTX213110-01) was used to detect the primary antibody, and the signal was developed with Trident ECL plus-Enhanced. Corresponding RNA expression data for the same cell lines are based on Human Protein Atlas program. Various whole cell extracts (30 μg) were separated by 12% SDS-PAGE, and the membrane was blotted with BCL10 antibody [N1C3] (GTX109159) diluted at 1:1000. The HRP-conjugated anti-rabbit IgG antibody (GTX213110-01) was used to detect the primary antibody, and the signal was developed with Trident ECL plus-Enhanced. Corresponding RNA expression data for the same cell lines are based on Human Protein Atlas program.](https://www.genetex.com/upload/website/prouct_img/normal/GTX109159/GTX109159_39988_20231208_WB_TPM_2_watermark_24032617_793.webp)




![ICC/IF analysis of PFA-fixed K562 cells using GTX02597 BCL10 antibody [BL10/2988R].](https://www.genetex.com/upload/website/prouct_img/normal/GTX02597/GTX02597_20210319_ICCIF_w_23053122_353.webp)
![IHC-P analysis of human tonsil tissue using GTX04716 BCL10 antibody [151]. Antigen retrieval : EDTA Buffer pH 8.0](https://www.genetex.com/upload/website/prouct_img/normal/GTX04716/GTX04716_20240325_IHC-P_24032422_706.webp)
![FACS analysis of Jurkat cells using GTX84835 BCL10 antibody [4A8]. Red : Primary antibody Blue : Negative control antibody](https://www.genetex.com/upload/website/prouct_img/normal/GTX84835/GTX84835_576_FACS_w_23061420_524.webp)
