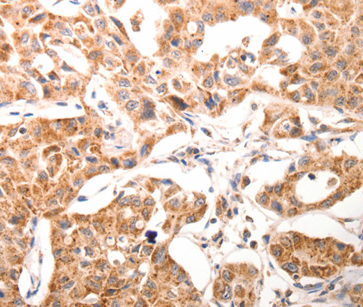
Immunohistochemistry of paraffin-embedded Human ovarian cancer tissue using BGLAP Polyclonal Antibody at dilution of 1:60
BGLAP Polyclonal Antibody
E-AB-15530
Product group Antibodies
Overview
- SupplierElabscience
- Product NameBGLAP Polyclonal Antibody
- Delivery Days Customer12
- Applications SupplierELISA IHC
- CertificationResearch Use Only
- Concentration0.4mg/ml
- Scientific DescriptionThis gene belongs to the osteocalcin/matrix Gla protein family. The protein is a part of the bone protein. It binds strongly to apatite and calcium.BGLAP obtain peak expression at the day of 21 during osteogenesis.
- UNSPSC12352203



