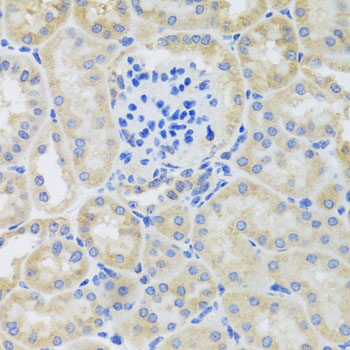
Immunohistochemistry of paraffin-embedded Mouse kidney using BNIP3 Polyclonal Antibody at dilution of 1:100 (40x lens).
BNIP3 Polyclonal Antibody
E-AB-61061
Product group Antibodies
Overview
- SupplierElabscience
- Product NameBNIP3 Polyclonal Antibody
- Delivery Days Customer12
- CertificationResearch Use Only
- Scientific DescriptionThis gene is encodes a mitochondrial protein that contains a BH3 domain and acts as a pro-apoptotic factor. The encoded protein interacts with anti-apoptotic proteins, including the E1B 19 kDa protein and Bcl2. This gene is silenced in tumors by DNA methylation.
- UNSPSC12352203





