
Analysis of Protein Array containing more than 19,000 full-length human proteins using BRCA-1 Mouse Monoclonal Antibody (BRCA1/1398). Z- and S- Score: The Z-score represents the strength of a signal that a monoclonal antibody produces when binding to a particular protein on the HuProtTM array. Z-scores are described in units of standard deviations (SD’s) above the mean value of all signals generated on that array. If targets on HuProtTM are arranged in descending order of the Z-score, the S-score is the difference (also in units of SD’s) between the Z-score. S-score therefore represents the relative target specificity of a Monoclonal Antibody to its intended target. A Monoclonal Antibody is considered to specific to its intended target if the Monoclonal Antibody has an S-score of at least 2.5. For example, if a Monoclonal Antibody binds to protein X with a Z-score of 43 and to protein Y with a Z-score of 14, then the S-score for the binding of that Monoclonal Antibody to protein X is equal to 29.
BRCA1 antibody [BRCA1/1398]
GTX34445
ApplicationsImmunoHistoChemistry, ImmunoHistoChemistry Paraffin, Other Application
Product group Antibodies
ReactivityHuman
TargetBRCA1
Overview
- SupplierGeneTex
- Product NameBRCA1 antibody [BRCA1/1398]
- Delivery Days Customer9
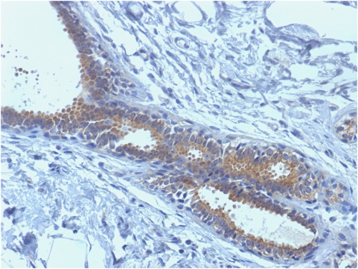
- Application Supplier NoteIHC-P: 2-5microg/ml for 60 minutes at RT. *Optimal dilutions/concentrations should be determined by the researcher.Not tested in other applications.
- ApplicationsImmunoHistoChemistry, ImmunoHistoChemistry Paraffin, Other Application
- CertificationResearch Use Only
- ClonalityMonoclonal
- Clone IDBRCA1/1398
- Concentration0.2 mg/ml
- ConjugateUnconjugated
- Gene ID672
- Target nameBRCA1
- Target descriptionBRCA1 DNA repair associated
- Target synonymsBRCAI, BRCC1, BROVCA1, FANCS, IRIS, PNCA4, PPP1R53, PSCP, RNF53, breast cancer type 1 susceptibility protein, BRCA1/BRCA2-containing complex, subunit 1, Fanconi anemia, complementation group S, RING finger protein 53, breast and ovarian cancer susceptibility protein 1, breast cancer 1, early onset, early onset breast cancer 1, protein phosphatase 1, regulatory subunit 53
- HostMouse
- IsotypeIgG1
- Protein IDP38398
- Protein NameBreast cancer type 1 susceptibility protein
- Scientific DescriptionThis gene encodes a nuclear phosphoprotein that plays a role in maintaining genomic stability, and it also acts as a tumor suppressor. The encoded protein combines with other tumor suppressors, DNA damage sensors, and signal transducers to form a large multi-subunit protein complex known as the BRCA1-associated genome surveillance complex (BASC). This gene product associates with RNA polymerase II, and through the C-terminal domain, also interacts with histone deacetylase complexes. This protein thus plays a role in transcription, DNA repair of double-stranded breaks, and recombination. Mutations in this gene are responsible for approximately 40% of inherited breast cancers and more than 80% of inherited breast and ovarian cancers. Alternative splicing plays a role in modulating the subcellular localization and physiological function of this gene. Many alternatively spliced transcript variants, some of which are disease-associated mutations, have been described for this gene, but the full-length natures of only some of these variants has been described. A related pseudogene, which is also located on chromosome 17, has been identified. [provided by RefSeq, May 2009]
- ReactivityHuman
- Storage Instruction-20°C or -80°C,2°C to 8°C
- UNSPSC12352203
![IHC-P analysis of human breast carcinoma tissue using GTX34445 BRCA1 antibody [BRCA1/1398]. IHC-P analysis of human breast carcinoma tissue using GTX34445 BRCA1 antibody [BRCA1/1398].](https://www.genetex.com/upload/website/prouct_img/normal/GTX34445/GTX34445_20200115_IHC-P_343_w_23060801_657.webp)






