
WB analysis of various sample lysates using GTX53924 Caldesmon antibody. Dilution : 1:1000 Loading : 25μg per lane
Caldesmon antibody
GTX53924
ApplicationsWestern Blot, ImmunoHistoChemistry, ImmunoHistoChemistry Paraffin
Product group Antibodies
ReactivityHuman
TargetCALD1
Overview
- SupplierGeneTex
- Product NameCaldesmon antibody
- Delivery Days Customer7
- Application Supplier NoteWB: 1:500 - 1:2000. IHC-P: 1:50 - 1:200. *Optimal dilutions/concentrations should be determined by the researcher.Not tested in other applications.
- ApplicationsWestern Blot, ImmunoHistoChemistry, ImmunoHistoChemistry Paraffin
- CertificationResearch Use Only
- ClonalityPolyclonal
- ConjugateUnconjugated
- Gene ID800
- Target nameCALD1
- Target descriptioncaldesmon 1
- Target synonymsCDM, H-CAD, HCAD, L-CAD, LCAD, NAG22, h-CD, caldesmon, testis secretory sperm-binding protein Li 227n
- HostRabbit
- IsotypeIgG
- Protein IDQ05682
- Protein NameCaldesmon
- Scientific DescriptionThis gene encodes a calmodulin- and actin-binding protein that plays an essential role in the regulation of smooth muscle and nonmuscle contraction. The conserved domain of this protein possesses the binding activities to Ca(2+)-calmodulin, actin, tropomyosin, myosin, and phospholipids. This protein is a potent inhibitor of the actin-tropomyosin activated myosin MgATPase, and serves as a mediating factor for Ca(2+)-dependent inhibition of smooth muscle contraction. Alternative splicing of this gene results in multiple transcript variants encoding distinct isoforms. [provided by RefSeq, Jul 2008]
- ReactivityHuman
- Storage Instruction-20°C or -80°C,2°C to 8°C
- UNSPSC41116161






![ICC/IF analysis of C2C12 cells using GTX64300 Caldesmon antibody [GT1108].
Fixation : 4% PFA
Permeabilization : 0.25% Triton X-100 in PBS
Green : Primary antibody Blue : DAPI](https://www.genetex.com/upload/website/prouct_img/normal/GTX64300/GTX64300_20180608_ICCIF_w_23061203_101.webp)


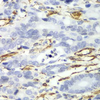
![IHC-P analysis of human mucosa from appendix tissue using GTX04451 Caldesmon antibody [MSVA-538R] HistoMAX?. Intense caldesmon positivity of intestinal subepithelial myofibroblasts ISEMFs and of the muscularis mucosae Caldesmon h immunohistochemistry.](https://www.genetex.com/upload/website/prouct_img/normal/GTX04451/GTX04451_20230728_IHC-P_8_23072722_109.webp)
