
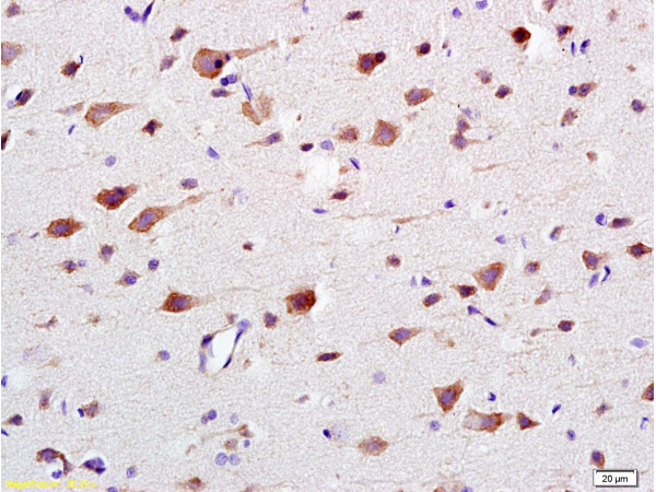
Paraformaldehyde-fixed, paraffin embedded mouse brain tissue; Antigen retrieval by boiling in sodium citrate buffer (pH6.0) for 15min; Block endogenous peroxidase by 3% hydrogen peroxide for 20 minutes; Blocking buffer (normal goat serum) at 37°C for 30min; Antibody incubation with CaMK2 Polyclonal Antibody, Unconjugated (bs-0541R) at 1:400 overnight at 4°C, followed by a conjugated secondary antibody and DAB staining.
CAMK2A + CAMK2B + CAMK2D Polyclonal Antibody
BS-0541R
ApplicationsWestern Blot, ELISA, ImmunoHistoChemistry, ImmunoHistoChemistry Frozen, ImmunoHistoChemistry Paraffin
Product group Antibodies
ReactivityHuman, Mouse, Rat
TargetCAMK2A
Overview
- SupplierBioss
- Product NameCAMK2A + CAMK2B + CAMK2D Polyclonal Antibody
- Delivery Days Customer16
- ApplicationsWestern Blot, ELISA, ImmunoHistoChemistry, ImmunoHistoChemistry Frozen, ImmunoHistoChemistry Paraffin
- Applications SupplierWB(1:300-5000), ELISA(1:500-1000), IHC-P(1:200-400), IHC-F(1:100-500)
- CertificationResearch Use Only
- ClonalityPolyclonal
- Concentration1 ug/ul
- ConjugateUnconjugated
- Gene ID815
- Target nameCAMK2A
- Target descriptioncalcium/calmodulin dependent protein kinase II alpha
- Target synonymsCAMKA, CaMKIINalpha, CaMKIIalpha, MRD53, MRT63, calcium/calmodulin-dependent protein kinase type II subunit alpha, CaM kinase II alpha subunit, CaM-kinase II alpha chain, CaMK-II alpha subunit, caM kinase II subunit alpha, caMK-II subunit alpha, calcium/calmodulin-dependent protein kinase (CaM kinase) II alpha, calcium/calmodulin-dependent protein kinase II alpha-B subunit, calcium/calmodulin-dependent protein kinase type II alpha chain
- HostRabbit
- IsotypeIgG
- ReactivityHuman, Mouse, Rat
- Storage Instruction-20°C
- UNSPSC41116161
References
- Upregulation of MMP-9 and CaMKII prompts cardiac electrophysiological changes that predispose denervated transplanted hearts to arrhythmogenesis after prolonged cold ischemic storage. Li W et al., 2019 Apr, Biomed PharmacotherRead this paper








