
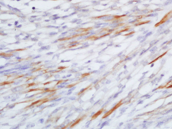
Paraformaldehyde-fixed, paraffin embedded human liver carcinoma; Antigen retrieval by boiling in sodium citrate buffer (pH6.0) for 15min; Block endogenous peroxidase by 3% hydrogen peroxide for 20 minutes; Blocking buffer (normal goat serum) at 37°C for 30min; Antibody incubation with CCL20 Polyclonal Antibody, Unconjugated (bs-1268R) at 1:400 overnight at 4°C, followed by a conjugated secondary for 20 minutes and DAB staining.
CCL20 Polyclonal Antibody
BS-1268R
ApplicationsImmunoFluorescence, ELISA, ImmunoCytoChemistry, ImmunoHistoChemistry, ImmunoHistoChemistry Frozen, ImmunoHistoChemistry Paraffin
Product group Antibodies
ReactivityHuman, Mouse, Rat
TargetCcl20
Overview
- SupplierBioss
- Product NameCCL20 Polyclonal Antibody
- Delivery Days Customer16
- ApplicationsImmunoFluorescence, ELISA, ImmunoCytoChemistry, ImmunoHistoChemistry, ImmunoHistoChemistry Frozen, ImmunoHistoChemistry Paraffin
- Applications SupplierELISA(1:500-1000), IHC-P(1:200-400), IHC-F(1:100-500), IF(IHC-P)(1:50-200), IF(IHC-F)(1:50-200), IF(ICC)(1:50-200)
- CertificationResearch Use Only
- ClonalityPolyclonal
- Concentration1 ug/ul
- ConjugateUnconjugated
- Gene ID20297
- Target nameCcl20
- Target descriptionC-C motif chemokine ligand 20
- Target synonymsCKb4, LARC, MIP-3A, MIP-3[a], MIP3A, ST38, Scya20, exodus-1, C-C motif chemokine 20, CC chemokine LARC, CC chemokine ST38, MIP-3-alpha, beta-chemokine exodus-1, chemokine (C-C motif) ligand 20, liver and activation-regulated chemokine, macrophage inflammatory protein 3 alpha, small inducible cytokine subfamily A20, small-inducible cytokine A20
- HostRabbit
- IsotypeIgG
- Protein IDO89093
- Protein NameC-C motif chemokine 20
- ReactivityHuman, Mouse, Rat
- Storage Instruction-20°C
- UNSPSC12352203
References
- Liu Y, Yu HJ, Wang N, et al. Clara cell 10-kDa protein inhibits T(H)17 responses through modulating dendritic cells in the setting of allergic rhinitis. J Allergy Clin Immunol. 2013,131(2):387-94.e1-12. doi: 10.1016/j.jaci.2012.11.027Read this paper


